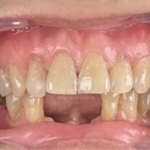
SERIOUS CONSEQUENCES OF LONG-TERM TOOTH LOSS

Long-term tooth loss not only compromises facial aesthetics but also leads to multiple serious oral and systemic complications. Below are six common problems that patients may experience when missing teeth are not restored in a timely manner:

  • Progressive alveolar bone resorption at the edentulous site

  • Secondary malocclusion and temporomandibular joint (TMJ) disorders

  • Premature facial aging and noticeable aesthetic deterioration

  • Reduced masticatory efficiency and associated digestive issues

  • Increased risk of dental caries, periodontal disease, and ongoing bone loss

  • Speech impairment, psychosocial impact, and decreased quality of life

The most effective solution to prevent these complications is Dental Implant treatment – a modern restorative method that replaces missing teeth permanently, preserves alveolar bone, and provides long-term functional and aesthetic stability.

ỨNG DỤNG CÔNG NGHỆ THẾ HỆ MỚI

NEW – GENERATION TECHNOLOGY APPLICATION

NEXT- GEN TECHNOLOGY APPLICATION

With the Next – Gen DSG Surgical Guide technology, Tam Duc Smile ensures a smoother, more precise, and safer implant procedure – helping you regain a confident smile along with strong, natural chewing function.

BẢNG GIÁ & ƯU ĐÃI MỚI NHẤT

Chi phí minh bạch – Ưu đãi trọn gói – Trả góp linh hoạt

OUTSTANDING BENEFITS OF DENTAL IMPLANTS

LATEST PRICES & SPECIAL OFFERS

Transparent pricing – All-inclusive packages – Flexible installment plans

THIS MONTH’S IMPLANT PROMOTION icon-hot

Dental Implant Promotion – This Month Only at Tam Duc Smile:

  • Single dental implant from only 5.000.000 VND (including implant fixture, abutment, and porcelain crown)
  • Up to 46% OFF, 0% interest installment plan available
  • FREE porcelain crown on implant, FREE temporary aesthetic tooth after 3 days
  • FREE premium water flosser 
  • FREE 1:1 consultation with implant surgery specialists
  • FREE CT scan and 3D jawbone scan worth 800,000 VND
  • FREE bone grafting (if required), teeth scaling, and FREE premium water flosser 
  • FREE blood tests before dental implant surgery
  • FREE transportation service and hotel expense support for patients traveling from a distance.
  • UP TO 10% OFF for customers with previous failed implants at other clinics, UP TO 15% OFF when visiting with family members

(The promotion is only applicable for patients who register on the website from May 1st – May 31st)

CLAIM YOUR OFFER NOW

Get a beautiful smile, save up to 46% | Limited availability



     STRATEGIC PARNERSHIP SIGNING WITH DENTIS

    Tam Duc Smile Dental Clinic continues to affirm its commitment to sustainable development and continuously improving treatment quality through the official signing of a strategic partnership with Dentis.

    With a team of highly experienced dentists and standardized treatment protocols, this collaboration enables Tam Duc Smile to enhance the use of genuine dental materials with clear origins, while integrating manufacturer-standard clinical procedures. These standards meet strict requirements for safety, durability, and biocompatibility, ensuring our patients receive safe, reliable, and highly effective treatment experiences.

    EXPERT IMPLANT DENTISTRY TEAM

    Specialist Level I - Pham Nguyen

    • Former Deputy Head of the Department of Maxillofacial Surgery – Ho Chi Minh City Hospital of Odonto-Stomatology.
    • Practice License No.: 004447/HCM – CCHN
    • Specialty: Dental Implantology
    • Certificates: Dental Implantology; Bone Augmentation and Sinus Lift Surgery; All-on-4 and All-on-6 Implant Techniques; Head and Neck Reconstructive Surgery.
    • Doctor of Odonto-Stomatology – University of Medicine and Pharmacy at Ho Chi Minh City.
    Xem chi tiết

    Specialist Level I - Ngo Minh Tri

    • Practice License No.: 004665/BRVT-GPHN
    • Specialties: Implant Dentistry, Prosthodontics, and Periodontal Surgery
    • Certificates: Dental Implantology, All-on-4 Implant, All-on-6 Implant, Zygomatic Implant, Implants in the Aesthetic Zone, Advanced Periodontology,…
    • Doctor of Odonto-Stomatology – University of Medicine and Pharmacy at Ho Chi Minh City
    Xem chi tiết
    bac-ngo-minh-tri

    Specialist Level I - Huynh Tan Phat

    • Practice License No.: 0003558/VL-CCHN
    • Specialties: Dental Implant Placement, Prosthodontics, and Periodontal Surgery
    • Certificates: Dental Implantology, All-on-4 Dental Implant, All-on-6 Dental Implant, Periodontal Surgery
    • Oral Surgery
    • Doctor of Odonto-Stomatology – Can Tho University of Medicine and Pharmacy
    Xem chi tiết
    bac-huynh-tan-phat

    Doctor - Tran Duc Anh

    • Practice License No.: 0008595/QNI-CCHN
    • Specialty: Dental Implantology
    • Certificates: Dental Implantology, Orthodontics, Dentofacial Orthopedics, …
    • Doctor of Odonto-Stomatology – Hanoi Medical University
    Xem chi tiết
    bac-tran-duc-anh

    Specialist Level I - Nguyen Minh Hieu

    • Practice License No.: 000034/AG – GPHN
    • Specialties: Dental Implant Placement, Prosthodontics, and Periodontal Surgery
    • Certificates: Dental Implant Placement with Simultaneous Bone Grafting, Advanced Periodontology, All-on-4 Dental Implant, All-on-6 Dental Implant, Zygomatic Implant,…
    • Doctor of Odonto-Stomatology – University of Medicine and Pharmacy at Ho Chi Minh City
    Xem chi tiết
    bac-nguyen-minh-hieu

    Doctor - Hong Thanh An

    • Winner of the Asia–Pacific (APAC) Impressive Clinical Case Award in clear aligner orthodontics
    • Practice License No.: 2954/NT-CCHN
    • Specialist in clear aligner orthodontics
    • Certificates: Invisalign Orthodontics, Complex orthodontic cases with clear aligners, Application of laser technology in dentistry, …
    • Doctor of Odonto-Stomatology – University of Medicine and Pharmacy at Ho Chi Minh City
    Xem chi tiết
    bac-hong-thanh-an

    Doctor - Nguyen Son Thinh

    • Practice License No.: 0004679/QB-CCHN
    • Specialty: Orthodontics – Teeth Alignment
    • Certificates: Dentofacial Orthopedics, Orthodontic Treatment with Invisalign, Endodontic Treatment and Restoration, …
    • Doctor of Odonto-Stomatology – Hue University of Medicine and Pharmacy
    Xem chi tiết
    bac-nguyen-son-thinh

    Specialist Level I - Nguyen Le Phuong Linh

    • Practice License No.: 050396/HCM-CCHN
    • Specialty: Orthodontics – Teeth Straightening
    • Certificates: Dentofacial Orthopedics, Invisalign Orthodontics, Orthodontic Treatment with Mini-screws and Self-ligating Braces, …
    • Doctor of Odonto-Stomatology – University of Medicine and Pharmacy at Ho Chi Minh City
    Xem chi tiết
    bac-nguyen-le-phuong-linh

    Doctor - Tran Thi Thi Tho

    • Practice License No.: 057649/HCM-CCHN
    • Specialties: Orthodontics – Teeth Straightening; Dental Implant Placement
    • Certificates: Dentofacial Orthopedics, Invisalign Orthodontics, Biologic Growth-Based Orthodontic Techniques following U.S. curricula, …
    • Doctor of Odonto-Stomatology – University of Medicine and Pharmacy at Ho Chi Minh City
    Xem chi tiết
    bac-tran-thi-thi-tho

    Doctor - Nguyen Tien Linh

    • Practice License No.: 008114/KG-CCHN
    • Specialty: Orthodontics – Teeth Straightening
    • Certificates: Dentofacial Orthopedics, Invisalign Orthodontics, Infection Control in Medical Examination and Treatment Facilities, …
    • Doctor of Odonto-Stomatology – University of Medicine and Pharmacy at Ho Chi Minh City
    Xem chi tiết
    bac-nguyen-tien-linh

    Specialist Level I

    Pham Nguyen

    bac-ngo-minh-tri

    Specialist Level I

    Ngo Minh Tri

    bac-huynh-tan-phat

    Specialist Level I

    Huynh Tan Phat

    bac-tran-duc-anh

    Doctor

    Tran Duc Anh

    bac-nguyen-minh-hieu

    Specialist Level I

    Nguyen Minh Hieu

    bac-hong-thanh-an

    Doctor

    Hong Thanh An

    bac-nguyen-son-thinh

    Doctor

    Nguyen Son Thinh

    bac-nguyen-le-phuong-linh

    Specialist Level I

    Nguyen Le Phuong Linh

    bac-tran-thi-thi-tho

    Doctor

    Tran Thi Thi Tho

    bac-nguyen-tien-linh

    Doctor

    Nguyen Tien Linh

    THE TRIO OF ADVANCED TECHNOLOGIES FOR PRECISE IMPLANT PLACEMENT

    The CT Cone Beam 3D is a three-dimensional X-ray imaging technology that allows clinicians to visualize the jawbone, teeth, soft tissues, and nerve structures with high accuracy.

    Key Advantages:

    • Produces clear and detailed 3D images for precise assessment of bone density and volume.

    • Delivers significantly lower radiation compared with conventional medical CT.

    • Supports highly accurate implant treatment planning, minimizing errors during implant placement.

    Clinical Applications:

    • Evaluating jawbone conditions before implant placement.

    • Identifying nerve pathways and sinus anatomy to ensure safe implant surgery.

    • Monitoring post-operative healing and assessing bone and implant conditions after surgery.

    The iTero Element 5D is an advanced digital intraoral scanner that uses 3D optical scanning and NIRI (Near-Infrared Imaging) to capture highly accurate images of teeth, gingiva, and soft tissues without the need for traditional impressions.

    Key Advantages:

    • Fast, comfortable digital scanning with no impression materials required.

    • Real-time 3D visualization for both clinicians and patients.

    • Early detection of caries and enamel wear, allowing proactive treatment.

    Clinical Applications:

    • Providing accurate 3D data for digital implant planning.

    • Designing implant crowns, bridges, and implant-supported restorations.

    • Tracking changes in occlusion and soft tissues throughout treatment.

    The DSG surgical guide is a digitally designed guide created from Cone Beam CT and iTero scan data, ensuring precise control over implant position, angulation, and depth.

    Key Advantages:

    • Enables millimeter-level accuracy in implant placement, ensuring optimal esthetics and chewing function.

    • Minimizes invasiveness, resulting in less pain, less swelling, and faster healing.

    • Reduces the risk of nerve injury or sinus perforation.

    Clinical Applications:

    • Facilitating flapless, minimally invasive digital implant surgery.

    • Suitable for complex cases or patients with reduced bone quality.

    • Helps clinicians place implants accurately, ensuring safe and predictable outcomes.

    7-STEP MEDICALLY STANDARDIZED IMPLANT PROCEDURE

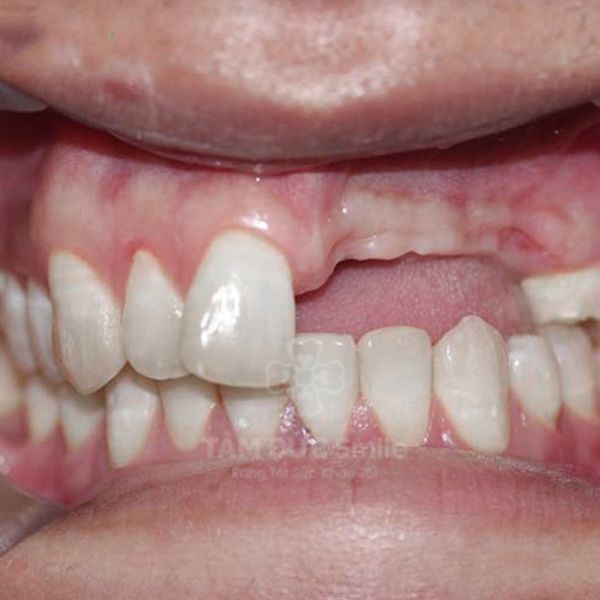
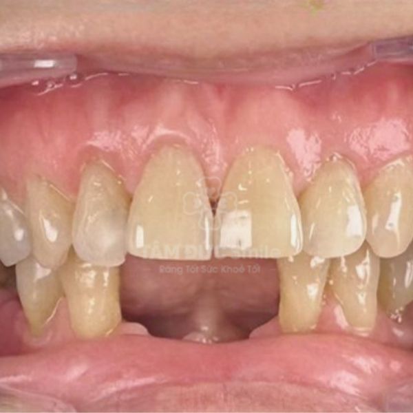
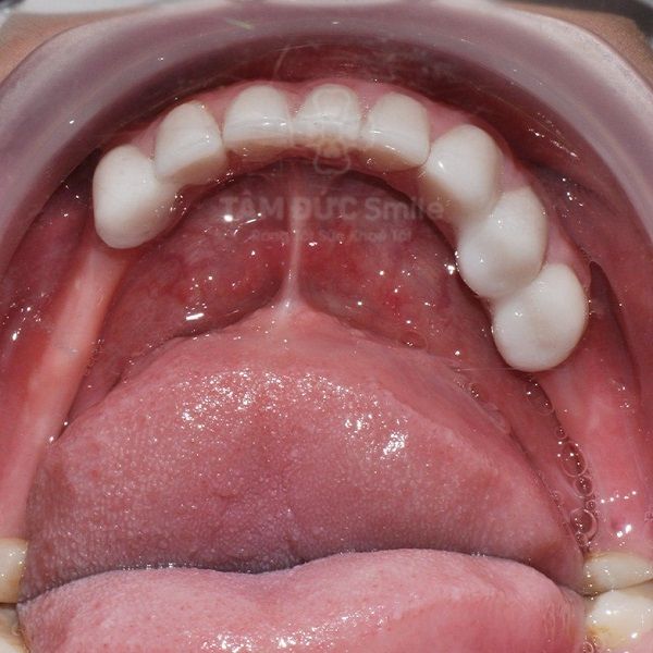
    REAL TREATMENT RESULTS

    REAL EXPERIENCES FROM OUR PATIENTS

    The clinic is spacious, clean, and equipped with modern technology. The doctors and staff are exceptionally thoughtful and attentive, we felt completely cared for. We’re very pleased with the treatment!

    The doctor is skilled and gentle. After the treatment, I felt so much more confident, everyone said I look better and younger. Eating is easy too, I can even chew cashews without any problem!

    The clinic is modern, and both the care and follow-up are excellent. After the implant procedure, I could eat hot and cold foods comfortably without any sensitivity.

    The implant procedure didn’t hurt at all. I was able to return to work and eat normally right afterward. The doctor checked on me at every step – very caring and attentive.

    TAM DUC SMILE’S COMMITMENTS

    Tam Duc Smile is committed to delivering radiant smiles and high-quality, compassionate, and professional dental care. Your oral health is our top priority with safe procedures, superior service, and maximum satisfaction.

    banner-tc

    REGISTER FOR A CONSULTATION