Cavities, also known as tooth decay or dental caries, are damaged areas of tooth enamel caused by plaque and cavities linked to poor oral hygiene and sugar and cavities consumption. Common cavity symptoms include toothache, sensitivity, and visible holes. If untreated, cavities may lead to serious cavity complications, requiring fillings, fluoride treatment, or even root canal therapy. Effective cavity treatment and prevent cavities strategies focus on proper brushing, flossing, and regular dental checkups. At Tam Duc Smile Dental, patients receive professional diagnosis, personalized care, and advanced solutions to protect long-term oral health.
1. What Are Cavities?
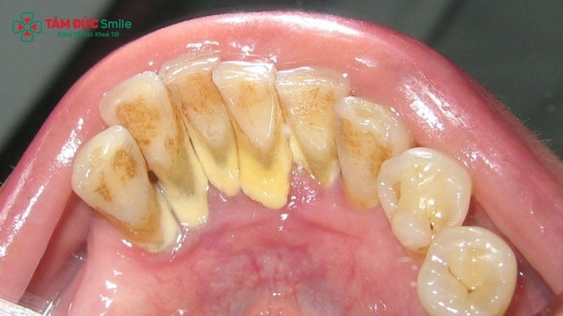
Cavities are permanent damaged areas in the hard surface of the teeth that develop into tiny openings or holes. In professional terms, cavities are also known as dental caries or tooth decay. This condition occurs when bacteria in the mouth produce acids that gradually erode the tooth enamel, the outer protective layer of the tooth.
If left untreated, cavities can progress deeper into the tooth structure, affecting the dentin and even the pulp, leading to pain, infection, and possible tooth loss. Cavities are one of the most common oral health problems worldwide, affecting both children and adults, but they are largely preventable with proper oral hygiene and regular dental checkups.

2. How Cavities Form
2.1 Plaque and Acid Production
The formation of cavities begins with plaque, a sticky film of bacteria that constantly forms on the teeth. When you consume foods and drinks high in sugar and cavities-causing carbohydrates, bacteria in plaque feed on these sugars and produce acids. These acids repeatedly attack the enamel, causing mineral loss and weakening the tooth surface.
Poor oral hygiene, such as infrequent brushing and flossing, allows plaque to remain on the teeth longer, increasing the risk of tooth decay.

2.2 Enamel Breakdown and Progression
Over time, repeated acid attacks lead to enamel demineralization. Once the enamel is breached, bacteria can penetrate the softer dentin layer, accelerating the decay process. At this stage, cavity symptoms such as sensitivity or discomfort may begin to appear. Without timely cavity treatment, decay can reach the tooth pulp, where nerves and blood vessels are located.
3. Causes and Risk Factors of Cavities
Several factors contribute to the development of cavities, including:
- Poor oral hygiene habits
- Frequent consumption of sugary snacks and beverages
- Inadequate exposure to fluoride treatment, which helps strengthen enamel
- Dry mouth, which reduces saliva’s natural protective effect
- Skipping routine dental checkups
Lifestyle and dietary choices play a major role in whether prevent cavities efforts are successful or not.
4. Common Cavity Symptoms
Recognizing cavity symptoms early is crucial for effective treatment. Common signs include:
- Toothache or spontaneous pain
- Sensitivity to hot, cold, or sweet foods
- Visible pits, holes, or dark spots on the teeth
- Pain when biting or chewing
In early stages, cavities may not cause noticeable symptoms, which is why regular dental checkups are essential for early detection.

5. How to Prevent Cavities
5.1 Daily Oral Hygiene Practices
Maintaining excellent oral hygiene is the foundation of cavity prevention tips. This includes brushing twice daily with fluoride toothpaste, flossing once a day, and using antibacterial mouthwash when recommended. These habits help control plaque and cavities development.
5.2 Diet and Lifestyle Adjustments
Limiting sugar and cavities-related foods, avoiding frequent snacking, and drinking plenty of water can significantly reduce cavity risk. A balanced diet supports overall oral health and enamel strength.
5.3 Professional Preventive Care
Regular dental checkups allow dentists to detect early signs of tooth decay and apply preventive measures such as fluoride treatment or dental sealants to protect vulnerable tooth surfaces.
6. Cavity Treatment Options at Tam Duc Smile Dental
Treatment for cavities depends on the severity of the decay:
- Fluoride treatment for early-stage enamel damage
- Fillings to restore teeth affected by moderate decay
- Root canal therapy when decay reaches the pulp
- Crowns for severely weakened teeth
At Tam Duc Smile Dental, patients receive personalized care using modern techniques to restore oral health and prevent future cavity complications. Early intervention not only preserves natural teeth but also helps maintain long-term dental health.

Tam Duc Smile Dental Clinic – A Modern Nationwide Dental System
Tam Duc Smile Dental Clinic is a leading comprehensive dental system, offering a full range of oral healthcare services from basic to advanced treatments, including routine dental check-ups, cavity treatment, scaling and aesthetic fillings, teeth whitening, porcelain crowns and veneers, orthodontics, and dental implant placement. With a team of highly experienced and dedicated dentists, along with advanced technologies such as Cone Beam CT 3D imaging and CAD/CAM systems, Tam Duc Smile Dental Clinic is committed to delivering a perfect smile that is safe, durable, and long-lasting over time. Book your appointment today for a free consultation via Hotline 1900.8040
- 52 Tan Ky Tan Quy Street, Tay Thanh Ward, Ho Chi Minh City
- 140 Ly Thai To Street, Ban Co Ward, Ho Chi Minh City
- 76 Pham Hong Thai Street, Ben Thanh Ward, Ho Chi Minh City
- 708–720 Dien Bien Phu Street, Thanh My Tay Ward, Ho Chi Minh City
- 513 Hoang Van Thu Street, Tan Son Nhat Ward, Ho Chi Minh City
- 50 Le Van Viet Street, Tang Nhon Phu Ward, Ho Chi Minh City
- 1112 Huynh Tan Phat Street, Tan My Ward, Ho Chi Minh City
- 361 Phan Van Tri Street, Binh Loi Trung Ward, Ho Chi Minh City
- 128 Nguyen Oanh Street, Hanh Thong Ward, Ho Chi Minh City
- Hotline: 1900.8040 – 0329 851 079
- Opening hours: 08:00 AM – 07:30 PM; Sunday: 08:00 AM – 12:00 PM


Specialist Level I
Pham Nguyen
Content medically reviewed
A Specialist Level I in Odonto-Stomatology (Dentistry), former Deputy Head of the Department at the Ho Chi Minh City Hospital of Odonto-Stomatology, with extensive experience in dental implantology, sinus lift procedures, and oral and maxillofacial surgery. He has obtained numerous advanced professional certifications both in Vietnam and internationally.
Xem thêm thông tinBÀI VIẾT LIÊN QUAN
Multiple Tooth Implants: Implant-Supported Bridge & Jawbone Care
Multiple Tooth Implants are an advanced solution for replacing several missing teeth using titanium implants...
Do Dental Implants Hurt? Pain Timeline, Recovery & What to Expect
Do dental implants hurt? This is one of the most common concerns for patients considering...
Dental Implant Surgery: Procedure, Costs, Recovery & Advanced Techniques
Dental implant surgery is a modern dental implant procedure designed to replace missing teeth through...
Dental Implant Components: Parts, Materials & Implant System Explained
Dental implant components are the foundation of a successful implant restoration, consisting of three main...
Dental Implant Cleaning Tools for Implant Hygiene and Maintenance Guide
Dental implant cleaning tools play a vital role in maintaining long-term implant health and preventing...
Dental Implant Bridge: Implant-Supported Fixed Tooth Replacement
A dental implant bridge is an advanced implant-supported bridge solution designed to replace multiple missing...