Endodontics focuses on root canal treatment and advanced endodontic treatment to eliminate dental pulp infection, relieve tooth nerve pain, and prevent tooth abscess formation. Common infected pulp symptoms are diagnosed using dental X-ray diagnosis before following precise root canal procedure steps. An experienced endodontist uses local anesthesia to ensure comfort, performs canal cleaning and shaping, and completes root canal filling (gutta-percha) with a secure temporary filling when needed. Proper root canal aftercare & recovery, including a dental crown after root canal, supports long-term success. At Tam Duc Smile Dental, endodontics prioritizes safety, accuracy, and preserving natural teeth.
1. What Is Endodontics?
Endodontics is a specialized branch of dentistry dedicated to the diagnosis, prevention, and treatment of diseases affecting the dental pulp and the tissues surrounding the root of a tooth. In simpler terms, endodontics focuses on what happens inside the tooth, particularly when the soft inner tissue becomes inflamed or infected.
At Tam Duc Smile Dental, endodontic treatment is considered a core solution for preserving natural teeth that would otherwise require extraction. The most common and well-known procedure in endodontics is root canal treatment, a highly predictable method for eliminating infection and relieving pain.
1.1 Definition: Endodontics and Endodontic Treatment
The term endodontics originates from the Greek words “endo” (inside) and “odont” (tooth). This definition directly reflects the focus of endodontics:
Dental pulp + root tissues.
Endodontic treatment refers to clinical procedures designed to:
- Remove infected or inflamed dental pulp
- Disinfect the internal canal system
- Seal the tooth to prevent reinfection
When performed correctly, root canal treatment allows patients to keep their natural teeth, maintain proper chewing function, and avoid more invasive restorative procedures.

1.2 Endodontist vs General Dentist: Who Performs Root Canal Treatment?
An endodontist is a dentist who has received advanced postgraduate training focused exclusively on endodontic treatment and root canal treatment. While many general dentists can perform routine root canals, complex cases—such as curved canals, retreatment, or severe tooth abscess—are often best managed by an endodontist.
At Tam Duc Smile Dental, patients are evaluated carefully to determine whether treatment should be carried out by a general dentist or referred to an endodontist (root canal specialist), ensuring optimal outcomes.

1.3 Why Endodontics Matters: Saving the Natural Tooth
Preserving the natural tooth is always preferable to extraction. Endodontics plays a vital role in modern dentistry because:
- Natural teeth provide better chewing efficiency
- Jawbone integrity is maintained
- Adjacent teeth remain stable
- Long-term costs are often lower than replacement options
Thanks to advancements in endodontic treatment, modern root canal treatment is safe, predictable, and highly successful when combined with proper restoration and oral hygiene.
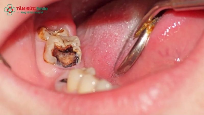
2. Dental Pulp Infection: Causes & Why It Happens
A dental pulp infection occurs when bacteria penetrate the inner chamber of the tooth and inflame or destroy the dental pulp. This condition is one of the primary reasons patients require root canal treatment.
2.1 Deep Cavities and Cracked Teeth → Dental Pulp Infection
The most common causes of dental pulp infection include:
- Untreated deep dental caries
- Cracked or fractured teeth
- Repeated dental procedures on the same tooth
- Trauma causing pulp damage
Once bacteria reach the dental pulp, inflammation begins. If left untreated, the infection progresses beyond the pulp chamber and into the root canals.
Dental pulp – Location – Inside tooth (pulp chamber + root canals)

2.2 How Infection Spreads to the Root → Tooth Abscess
As bacteria multiply, pressure builds within the tooth, eventually spreading to the surrounding bone and soft tissues. This leads to a tooth abscess, a localized collection of pus at the root tip.
Tooth abscess – Common signs – Swelling, pus, gum boil, bad taste/odor, throbbing pain
A tooth abscess is a serious dental condition that requires immediate endodontic treatment to prevent further complications such as bone loss or systemic infection.
2.3 Pulpitis: Reversible vs Irreversible
Pulpitis refers to inflammation of the dental pulp and is categorized into two main types:
- Reversible pulpitis: Mild inflammation where the pulp can heal once the cause is removed. Root canal treatment is not always required.
- Irreversible pulpitis: Severe inflammation where the pulp cannot recover. Root canal treatment – Purpose – Remove infected/inflamed pulp, disinfect canals, seal tooth is necessary.
Recognizing the stage of pulpitis is crucial for selecting the appropriate endodontic treatment.
3. Symptoms: How to Know You Might Need a Root Canal Treatment
Many patients delay treatment because symptoms may fluctuate or temporarily subside. However, ignoring warning signs of dental pulp infection can lead to severe complications.
3.1 Tooth Nerve Pain: Signs You Shouldn’t Ignore
Tooth nerve pain is one of the most recognizable indicators that endodontic treatment may be required. This pain often presents as:
- Sharp or throbbing discomfort
- Pain that occurs spontaneously without stimulation
- Night-time pain that disrupts sleep
Symptoms – Key indicators – Lingering hot/cold sensitivity, pain on biting, spontaneous pain
3.2 Sensitivity, Swelling, and Gum Boils
Additional symptoms of infected pulp symptoms include:
- Lingering sensitivity to hot or cold
- Pain when biting or chewing
- Facial or gum swelling
- Gum boils or fistulas
- Persistent bad taste or odor
These symptoms often indicate progression toward a tooth abscess and should be evaluated promptly.
3.3 “No Pain” Cases: Silent Infection on Dental X-Ray Diagnosis
Not all dental pulp infections cause pain. In some cases, infection is discovered incidentally during a routine exam using dental X-ray diagnosis.
Diagnosis – Tools – Clinical exam + percussion tests + dental X-ray
Radiographic imaging allows dentists to identify bone loss, hidden abscesses, or previously untreated canals, even when patients feel no discomfort.
4. Diagnosis at Tam Duc Smile Dental
Accurate diagnosis is the foundation of successful endodontic treatment. At Tam Duc Smile Dental, a comprehensive diagnostic protocol ensures that each patient receives the most appropriate care.
4.1 Clinical Examination and Diagnostic Tests
The diagnostic process begins with:
- Visual examination
- Percussion and palpation tests
- Cold and bite tests
These assessments help determine the vitality of the dental pulp and identify the source of tooth nerve pain.
4.2 Dental X-Ray Diagnosis: Seeing Inside the Tooth
Dental X-ray diagnosis is essential for confirming the extent of infection. X-rays reveal:
- Number and shape of root canals
- Presence of periapical lesions
- Bone loss around the root
This imaging guides treatment planning and helps predict procedural complexity.
4.3 Personalized Endodontic Treatment Planning
Based on clinical and radiographic findings, dentists at Tam Duc Smile Dental determine:
- Whether root canal treatment is required
- The number of treatment visits
- Whether referral to an endodontist is necessary
This individualized approach maximizes treatment success and patient comfort.
5. Root Canal Procedure Steps (Comprehensive Endodontic Treatment)
Understanding the root canal procedure steps helps patients feel more confident and informed before treatment.
5.1 Local Anesthesia (Numbing): Is Root Canal Treatment Painful?
Modern endodontics prioritizes patient comfort. Local anesthesia – Role – Pain control during treatment ensures the procedure is virtually painless.
Most patients report that root canal treatment feels similar to receiving a standard dental filling.
5.2 Rubber Dam Isolation: Infection Control
A rubber dam – Function – Isolation + infection control (keeps tooth dry/clean) is placed around the tooth to:
- Prevent saliva contamination
- Protect the airway
- Maintain a sterile treatment field
This step is essential for long-term success.
5.3 Access Opening: Reaching the Dental Pulp
The dentist creates a small access opening through the crown of the tooth to reach the infected dental pulp. This step allows entry into the root canal system.
5.4 Canal Cleaning and Shaping with Endodontic Files
Using specialized endodontic files – Use – Clean and shape canals, the dentist removes infected tissue and shapes the canals to facilitate proper disinfection.
Canal cleaning and shaping is one of the most critical phases of endodontic treatment.
5.5 Disinfection with Irrigation Solution
Throughout the procedure, an irrigation solution – Goal – Disinfection and debris removal in canals is used to eliminate bacteria and organic debris that files alone cannot reach.
5.6 Root Canal Filling (Gutta-Percha) and Sealing
After thorough cleaning, the canals are sealed using root canal filling (gutta-percha).
Obturation – Material – Gutta-percha + sealer
This step prevents reinfection and restores internal tooth integrity.
5.7 Temporary Filling and Next Steps
A temporary filling – Purpose – Protect tooth between visits is placed until the final restoration is completed. In many cases, a dental crown after root canal is recommended to protect the tooth from fracture.
6. Aftercare & Recovery: What to Do After Root Canal Treatment
After root canal treatment, proper root canal aftercare & recovery plays a decisive role in long-term success. Even when the endodontic treatment itself is performed correctly, inadequate care afterward can compromise healing, comfort, and durability of the restored tooth.
At Tam Duc Smile Dental, patients are guided carefully through each recovery stage to ensure the treated tooth remains healthy and functional for years.
6.1. Root canal aftercare in the first 24–48 hours
Immediately after endodontic treatment, it is normal for the treated tooth and surrounding tissues to feel sensitive. This reaction is part of the body’s natural healing process after the dental pulp infection has been removed.
Common experiences include:
- Mild to moderate tooth nerve pain
- Tenderness when biting or chewing
- Slight swelling of nearby gum tissu
These symptoms typically subside within a few days. During the first 24–48 hours, patients should:
- Avoid chewing on the treated side
- Refrain from very hot or hard foods
- Maintain gentle oral hygiene without aggressive brushing
Pain management is usually achieved with standard analgesics, and thanks to effective local anesthesia, discomfort during treatment itself is minimal.
6.2. Normal vs abnormal symptoms after endodontic treatment
Understanding the difference between normal healing and warning signs is essential after root canal treatment.
Normal symptoms may include:
- Mild tooth nerve pain
- Temporary sensitivity to pressure
- Slight inflammation
Abnormal symptoms that require immediate dental attention include:
- Increasing pain after several days
- Persistent swelling or pus discharge (possible tooth abscess)
- Fever or spreading facial swelling
These signs may indicate incomplete canal sealing, reinfection of the dental pulp, or complications requiring reassessment by an endodontist.
6.3. Eating, brushing, and daily care after treatment
During root canal aftercare & recovery, daily habits significantly influence outcomes.
Patients should:
- Eat soft foods until tenderness resolves
- Avoid sticky or hard foods that may dislodge a temporary filling
- Brush gently with a soft-bristled toothbrush
- Use dental floss carefully around the treated area
Maintaining cleanliness prevents bacterial re-entry into the treated canal system and supports optimal healing.

6.4. Why a dental crown after root canal is often recommended
One of the most important post-treatment considerations is placing a dental crown after root canal therapy.
After endodontic treatment, the tooth:
- No longer contains living pulp tissue
- Becomes more brittle
- Is more prone to fracture, especially molars
A dental crown restores structural integrity, protects against chewing forces, and significantly increases long-term success. At Tam Duc Smile Dental, crown placement is carefully planned to match bite alignment and aesthetics.
7. Safety, Risks, and Common Concerns About Endodontics
Modern endodontics is considered one of the safest and most predictable dental procedures. Advances in technology, imaging, and materials have made root canal treatment highly successful when performed correctly.
7.1. Is root canal treatment safe?
Yes. Root canal treatment is designed to eliminate dental pulp infection while preserving the natural tooth. The procedure:
- Uses advanced dental X-ray diagnosis
- Employs sterile techniques with rubber dam isolation
- Relies on precise canal cleaning and shaping
When done by a trained endodontist, complications are rare.
7.2. Potential risks and how they are minimized
As with any medical procedure, some risks exist, including:
- Missed canals
- Instrument separation
- Reinfection
However, these risks are significantly reduced through:
- Thorough dental X-ray diagnosis
- Proper use of endodontic files
- Adequate disinfection with irrigation solution
- Complete sealing using root canal filling (gutta-percha)
7.3. Antibiotics and endodontic treatment
Antibiotics are not routinely required for endodontic treatment. They may be prescribed only when:
- Infection has spread beyond the tooth
- Systemic symptoms such as fever are present
The primary solution to infected pulp symptoms remains mechanical removal of infection through root canal procedure steps, not medication alone.
7.4. Long-term success factors
The outcomes of endodontics depend on:
- Early diagnosis
- Complete canal sealing with gutta-percha
- Proper final restoration with a dental crown after root canal
- Consistent oral hygiene
When these factors align, treated teeth can last a lifetime.
8. Cost Factors for Endodontic Treatment
The cost of endodontic treatment varies depending on several clinical and anatomical factors. Understanding these helps patients make informed decisions.
8.1. Tooth position and canal complexity
Different teeth present varying levels of difficulty:
- Front teeth typically have one canal
- Premolars may have one or two canals
- Molars often contain multiple canals requiring complex canal cleaning and shaping
More canals increase treatment time, use of endodontic files, and complexity.
8.2. Severity of dental pulp infection
Advanced dental pulp infection or presence of a tooth abscess may require:
- Additional visits
- Extended disinfection protocols
- More detailed dental X-ray diagnosis
8.3. Retreatment vs first-time root canal
Root canal retreatment is generally more complex than initial root canal treatment due to:
- Removal of existing root canal filling (gutta-percha)
- Altered canal anatomy
8.4. Additional restorative costs
Beyond endodontic treatment, patients should consider:
- Dental crown after root canal
- Temporary and permanent restorations
- Follow-up dental X-ray diagnosis
At Tam Duc Smile Dental, treatment plans are transparent, ensuring patients understand all cost components before proceeding.
9. FAQ About Endodontics
9.1. How long does a root canal take?
Most root canal treatment sessions last 60–90 minutes. Complex molars or severe dental pulp infection may require multiple visits.
9.2. Will the tooth be “dead” after treatment?
The dental pulp is removed, but the tooth remains functional. With a dental crown, it continues to perform normal chewing functions.
9.3. Can a root canal fail?
Failure is uncommon but possible if:
- Canals are not fully cleaned
- Sealing is incomplete
- Final restoration is delayed
Prompt retreatment by an endodontist can often save the tooth.
9.4. Root canal vs extraction: which is better?
Preserving the natural tooth through endodontics is generally preferred over extraction, as it maintains jawbone health and natural bite alignment.
9.5. How to prevent dental pulp infection?
Prevention strategies include:
- Regular dental checkups
- Early cavity treatment
- Prompt management of cracked teeth
- Good daily oral hygiene
10. Book a Consultation at Tam Duc Smile Dental
When symptoms such as tooth nerve pain, swelling, or prolonged sensitivity appear, early evaluation is essential. Tam Duc Smile Dental provides comprehensive endodontic treatment using modern technology and experienced clinicians.
10.1. Who should see an endodontist?
Patients with:
- Persistent infected pulp symptoms
- Recurrent tooth abscess
- Failed previous root canal treatment
benefit from specialized endodontics care.
10.2. What to prepare before your visit
Patients should:
- Note pain duration and triggers
- Bring previous dental X-ray diagnosis if available
- List current medications
10.3. Schedule your endodontics consultation
Protect your natural teeth with timely root canal treatment and expert endodontic treatment at Tam Duc Smile Dental. Early care not only relieves pain but ensures long-term oral health and confidence.

Tam Duc Smile Dental Clinic – A Modern Nationwide Dental System
Tam Duc Smile Dental Clinic is a leading comprehensive dental system, offering a full range of oral healthcare services from basic to advanced treatments, including routine dental check-ups, cavity treatment, scaling and aesthetic fillings, teeth whitening, porcelain crowns and veneers, orthodontics, and dental implant placement. With a team of highly experienced and dedicated dentists, along with advanced technologies such as Cone Beam CT 3D imaging and CAD/CAM systems, Tam Duc Smile Dental Clinic is committed to delivering a perfect smile that is safe, durable, and long-lasting over time. Book your appointment today for a free consultation via Hotline 1900.8040
- 52 Tan Ky Tan Quy Street, Tay Thanh Ward, Ho Chi Minh City
- 140 Ly Thai To Street, Ban Co Ward, Ho Chi Minh City
- 76 Pham Hong Thai Street, Ben Thanh Ward, Ho Chi Minh City
- 708–720 Dien Bien Phu Street, Thanh My Tay Ward, Ho Chi Minh City
- 513 Hoang Van Thu Street, Tan Son Nhat Ward, Ho Chi Minh City
- 50 Le Van Viet Street, Tang Nhon Phu Ward, Ho Chi Minh City
- 1112 Huynh Tan Phat Street, Tan My Ward, Ho Chi Minh City
- 361 Phan Van Tri Street, Binh Loi Trung Ward, Ho Chi Minh City
- 128 Nguyen Oanh Street, Hanh Thong Ward, Ho Chi Minh City
- Hotline: 1900.8040 – 0329 851 079
- Opening hours: 08:00 AM – 07:30 PM; Sunday: 08:00 AM – 12:00 PM


Specialist Level I
Pham Nguyen
Content medically reviewed
A Specialist Level I in Odonto-Stomatology (Dentistry), former Deputy Head of the Department at the Ho Chi Minh City Hospital of Odonto-Stomatology, with extensive experience in dental implantology, sinus lift procedures, and oral and maxillofacial surgery. He has obtained numerous advanced professional certifications both in Vietnam and internationally.
Xem thêm thông tinBÀI VIẾT LIÊN QUAN
Multiple Tooth Implants: Implant-Supported Bridge & Jawbone Care
Multiple Tooth Implants are an advanced solution for replacing several missing teeth using titanium implants...
Do Dental Implants Hurt? Pain Timeline, Recovery & What to Expect
Do dental implants hurt? This is one of the most common concerns for patients considering...
Dental Implant Surgery: Procedure, Costs, Recovery & Advanced Techniques
Dental implant surgery is a modern dental implant procedure designed to replace missing teeth through...
Dental Implant Components: Parts, Materials & Implant System Explained
Dental implant components are the foundation of a successful implant restoration, consisting of three main...
Dental Implant Cleaning Tools for Implant Hygiene and Maintenance Guide
Dental implant cleaning tools play a vital role in maintaining long-term implant health and preventing...
Dental Implant Bridge: Implant-Supported Fixed Tooth Replacement
A dental implant bridge is an advanced implant-supported bridge solution designed to replace multiple missing...