Gingivitis is an early form of periodontal disease, characterized by gum inflammation caused mainly by plaque buildup and dental plaque accumulation that hardens into tartar (calculus). Common signs include bleeding gums, gum pain, gum recession, gingival pockets, and persistent bad breath (halitosis). If left untreated, plaque-induced gingivitis – a type of early gum disease – may progress, including severe forms such as necrotizing gingivitis. Diagnosis often requires professional care like scaling and root planing, alongside proper oral hygiene. At Tam Duc Smile Dental, patients receive accurate diagnosis, effective treatment, and preventive guidance to protect long-term gum health.
1. What Is Gingivitis?
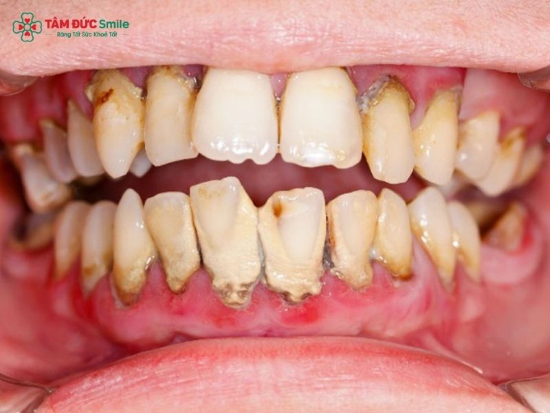
Gingivitis is a form of gum inflammation and is recognized as the earliest stage of periodontal disease. This condition affects the gingiva (gum tissue) surrounding the teeth and is characterized by redness, swelling, and a tendency for the gums to bleed easily. From a clinical perspective, gingivitis is considered a reversible gum disease when detected and treated early.
At this stage, the inflammation is limited to the soft tissues and has not yet caused damage to the supporting bone or connective structures. This is why dentists always emphasize early intervention: treating early gum disease is significantly simpler and more predictable than managing advanced periodontal conditions.

2. Causes & Risk Factors of Gingivitis
2.1 Plaque Buildup – The Primary Cause
The leading cause of gingivitis is plaque buildup along the gum line. Dental plaque is a sticky biofilm composed of bacteria, food debris, and saliva proteins. When plaque is not removed through proper oral hygiene, it triggers an inflammatory response in the gums.
Over time, plaque hardens into tartar (calculus), which cannot be removed by brushing alone. The rough surface of tartar creates an ideal environment for bacteria to thrive, worsening gum inflammation and deepening gingival pockets.
2.2 Additional Risk Factors
Several factors increase the likelihood of developing gingivitis, including:
- Poor oral hygiene habits (infrequent brushing and flossing)
- Smoking and tobacco use
- Systemic conditions such as diabetes
- Hormonal changes during puberty or pregnancy
- Certain medications that reduce saliva flow
These risk factors either promote plaque buildup or reduce the body’s ability to respond to bacterial infection.

3. Common Symptoms of Gingivitis
Patients with gingivitis may experience a range of symptoms, some of which are often ignored in the early stages. Common clinical signs include:
- Bleeding gums, especially during brushing or flossing
- Red, swollen, or tender gum tissue
- Persistent bad breath (halitosis)
- Mild gum pain or discomfort
- Shiny or smooth gum surfaces instead of healthy stippling
Although these symptoms may appear mild, they are clear indicators of gum inflammation and should not be overlooked.
4. Clinical Forms and Variants of Gingivitis
Not all cases of gingivitis present in the same way. Dentists classify several forms based on cause and severity:
- Plaque-induced gingivitis – the most common type, directly related to plaque buildup
- Necrotizing gingivitis – a severe form associated with pain, ulceration, and tissue necrosis
- Hormonal gingivitis – linked to pregnancy or puberty
- Drug-induced gingival inflammation
Recognizing the specific type of gingivitis helps guide appropriate treatment and prevention strategies.

5. How Dentists Diagnose Gingivitis
Diagnosis of gingivitis is primarily clinical. A dentist will perform a comprehensive oral examination that includes:
- Visual assessment of gum color, contour, and texture
- Gentle probing to evaluate gingival pockets
- Review of oral hygiene habits and medical history
Early diagnosis allows dentists to prevent progression to periodontal disease, which involves irreversible damage to the bone supporting the teeth.
6. Treatment Options for Gingivitis
6.1 Professional Dental Care
The cornerstone of gingivitis treatment is professional dental cleaning. This includes scaling and root planing, a procedure that removes plaque buildup and tartar (calculus) from above and below the gum line. Once the bacterial irritants are eliminated, the gums can heal naturally.
6.2 At-Home Care for Reversal
Daily home care plays a crucial role in reversing gingivitis:
- Brushing twice daily using proper technique
- Daily flossing to disrupt dental plaque between teeth
- Use of antimicrobial mouth rinses when recommended
Consistent oral hygiene can significantly reduce inflammation within weeks.
7. Prevention Strategies for Lifelong Gum Health
Preventing gingivitis requires a combination of professional care and daily habits. Key prevention strategies include:
- Maintaining excellent oral hygiene routines
- Scheduling regular dental checkups and cleanings
- Avoiding tobacco products
- Managing systemic conditions such as diabetes
When these measures are followed, gingivitis can be effectively prevented, protecting long-term gum health and reducing the risk of advanced periodontal disease.

Tam Duc Smile Dental Clinic – A Modern Nationwide Dental System
Tam Duc Smile Dental Clinic is a leading comprehensive dental system, offering a full range of oral healthcare services from basic to advanced treatments, including routine dental check-ups, cavity treatment, scaling and aesthetic fillings, teeth whitening, porcelain crowns and veneers, orthodontics, and dental implant placement. With a team of highly experienced and dedicated dentists, along with advanced technologies such as Cone Beam CT 3D imaging and CAD/CAM systems, Tam Duc Smile Dental Clinic is committed to delivering a perfect smile that is safe, durable, and long-lasting over time. Book your appointment today for a free consultation via Hotline 1900.8040
- 52 Tan Ky Tan Quy Street, Tay Thanh Ward, Ho Chi Minh City
- 140 Ly Thai To Street, Ban Co Ward, Ho Chi Minh City
- 76 Pham Hong Thai Street, Ben Thanh Ward, Ho Chi Minh City
- 708–720 Dien Bien Phu Street, Thanh My Tay Ward, Ho Chi Minh City
- 513 Hoang Van Thu Street, Tan Son Nhat Ward, Ho Chi Minh City
- 50 Le Van Viet Street, Tang Nhon Phu Ward, Ho Chi Minh City
- 1112 Huynh Tan Phat Street, Tan My Ward, Ho Chi Minh City
- 361 Phan Van Tri Street, Binh Loi Trung Ward, Ho Chi Minh City
- 128 Nguyen Oanh Street, Hanh Thong Ward, Ho Chi Minh City
- Hotline: 1900.8040 – 0329 851 079
- Opening hours: 08:00 AM – 07:30 PM; Sunday: 08:00 AM – 12:00 PM


Specialist Level I
Pham Nguyen
Content medically reviewed
A Specialist Level I in Odonto-Stomatology (Dentistry), former Deputy Head of the Department at the Ho Chi Minh City Hospital of Odonto-Stomatology, with extensive experience in dental implantology, sinus lift procedures, and oral and maxillofacial surgery. He has obtained numerous advanced professional certifications both in Vietnam and internationally.
Xem thêm thông tinBÀI VIẾT LIÊN QUAN
Multiple Tooth Implants: Implant-Supported Bridge & Jawbone Care
Multiple Tooth Implants are an advanced solution for replacing several missing teeth using titanium implants...
Do Dental Implants Hurt? Pain Timeline, Recovery & What to Expect
Do dental implants hurt? This is one of the most common concerns for patients considering...
Dental Implant Surgery: Procedure, Costs, Recovery & Advanced Techniques
Dental implant surgery is a modern dental implant procedure designed to replace missing teeth through...
Dental Implant Components: Parts, Materials & Implant System Explained
Dental implant components are the foundation of a successful implant restoration, consisting of three main...
Dental Implant Cleaning Tools for Implant Hygiene and Maintenance Guide
Dental implant cleaning tools play a vital role in maintaining long-term implant health and preventing...
Dental Implant Bridge: Implant-Supported Fixed Tooth Replacement
A dental implant bridge is an advanced implant-supported bridge solution designed to replace multiple missing...