Lưu trữ danh mục: Dental Knowledge

Full Arch Dental Implants: All-on-4 & All-on-6 Fixed Smile Solutions

Full arch dental implants are a modern solution for patients missing an entire row of...

History of Dental Implants: Evolution, Osseointegration & Modern Implantology

The history of dental implants reflects the remarkable evolution of dental implants from ancient dental...

Implant Materials Guide: Titanium, Zirconia & Biocompatible Options

Choosing the right implant materials is a critical factor in the long-term success of dental...

Implant Success Rate: Factors, Longevity, and Dental Implant Outcomes

The implant success rate is a key measure of long-term tooth replacement outcomes, with a...

Implantation Process: Dental Implant Surgery, Osseointegration & Recovery

The implantation process is a structured dental implant surgery designed to replace missing teeth safely...

Dental Implants for Seniors: Safe, Effective Options at Tam Duc Smile

Dental implants for seniors are a reliable tooth replacement solution designed for elderly patients seeking...

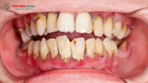
Dental Implant Problems: Infection, Failure, Bone Loss & Treatment

Dental implant problems can occur when factors such as peri-implantitis infection, poor osseointegration, or bone...

Removable Dentures: Types, Costs, Care & Benefits for Oral Function

Removable dentures are custom-made dental prostheses designed to replace missing teeth and restore chewing function,...

Disadvantages of Dental Implants: risks, complications, cost & failure

The disadvantages of dental implants are an important factor patients should understand before treatment. Common...

Periodontics: Periodontal Disease, Gum Disease Treatment & Periodontist Care

Periodontics is a dental specialty dedicated to the prevention, diagnosis, and treatment of periodontal disease,...

Orthodontics Guide: Braces, Invisalign, Clear Aligners & Bite Correction

Orthodontics is a specialized dental field focused on correcting malocclusion, improving jaw alignment, and achieving...

Oral Health: Hygiene, Decay, Gum Disease, Plaque, Fluoride, Flossing

Oral health refers to the condition of the teeth, gums, and oral structures that support...

Teeth Whitening Treatment: Best Methods, Cost, Results & Risks

Teeth whitening treatment is a popular cosmetic dental procedure designed to brighten smiles by removing...