Periodontics is a dental specialty dedicated to the prevention, diagnosis, and treatment of periodontal disease, focusing on overall oral health and gums. Common conditions include gingivitis, periodontitis, gum inflammation, bleeding gums, and gum recession, often caused by dental plaque and tartar buildup. Depending on severity, gum disease treatment may involve scaling and root planing, also known as deep cleaning teeth, advanced periodontal therapy, or periodontal surgery, all guided by an experienced periodontist. Ongoing periodontal maintenance plays a key role in preserving long-term results. At Tam Duc Smile Dental, patients receive comprehensive periodontal care with modern techniques, personalized treatment plans, and a strong focus on preserving natural teeth and healthy gums.
1. What Is Periodontal Disease?
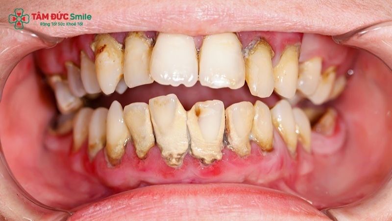
Periodontal disease is a chronic inflammatory condition affecting the gums, periodontal ligament, and alveolar bone, which are the structures that support natural teeth. In Periodontics, this condition is considered the primary cause of tooth loss in adults if left untreated.
The root cause of periodontal disease is the accumulation of dental plaque and tartar along and below the gumline. These bacterial deposits trigger gum inflammation, gradually destroying the tissues that anchor teeth in place.
Common clinical signs include bleeding gums, persistent bad breath, swollen or tender gums, and changes in bite alignment. Early detection through periodontal therapy plays a critical role in preserving long-term oral health and gums.

2. Stages of Gum Disease and Their Impact
2.1 Gingivitis – The Early and Reversible Stage
Gingivitis is the mildest and earliest form of gum disease. At this stage, inflammation is limited to the gum tissue and does not involve bone loss. Symptoms typically include bleeding gums, redness, and mild swelling, especially during brushing or flossing.
With proper gum disease treatment, including professional cleaning and improved oral hygiene, gingivitis is fully reversible. This stage represents a crucial intervention point within Periodontics.
2.2 Periodontitis – Advanced Periodontal Disease
If gingivitis is left untreated, it can progress into periodontitis, a more severe and destructive form of periodontal disease. Bacterial toxins penetrate deeper beneath the gumline, causing irreversible damage to connective tissue and bone.
Clinical consequences include gum recession treatment needs, deep periodontal pockets, loose teeth, and eventual tooth loss. At this stage, advanced periodontal therapy or periodontal surgery may be required to control infection.
3. Who Needs Periodontal Treatment?
Patients who experience persistent bleeding gums, chronic bad breath, gum tenderness, or visible gum recession are strong candidates for periodontal treatment. Individuals with systemic conditions such as diabetes, smokers, and patients with poor oral hygiene habits are at significantly higher risk.
A periodontist is specially trained to evaluate these risk factors and diagnose the severity of periodontal disease. In many cases, early scaling and root planing can prevent the need for surgical intervention.
At Tam Duc Smile Dental, comprehensive periodontal assessments help determine whether non-surgical or surgical periodontal therapy is the most appropriate solution.
4. Common Periodontal Treatments in Periodontics
4.1 Scaling and Root Planing (Deep Cleaning Teeth)
Scaling and root planing is the most common non-surgical procedure in Periodontics. This deep cleaning teeth technique removes dental plaque and tartar from beneath the gumline and smooths the root surfaces to discourage bacterial reattachment.
This method effectively reduces gum inflammation, halts disease progression, and promotes natural gum healing.

4.2 Non-Surgical Periodontal Therapy
Non-surgical periodontal therapy may include antimicrobial treatments, localized antibiotics, and ongoing professional monitoring. This approach is ideal for patients in the early to moderate stages of periodontal disease.
4.3 Periodontal Surgery for Advanced Cases
When infection and bone loss are severe, periodontal surgery may be necessary. Surgical procedures aim to reduce periodontal pockets, regenerate bone, and stabilize affected teeth, restoring long-term oral health and gums.
5. Periodontal Maintenance and Long-Term Care
Periodontal maintenance is a critical component of successful gum disease treatment. Unlike routine dental cleanings, periodontal maintenance focuses on preventing reinfection by targeting high-risk areas around previously treated sites.
Patients typically require follow-up visits every 3–6 months, depending on disease severity. These visits help maintain stable results after periodontal therapy and reduce the likelihood of disease recurrence.
Consistent home care, including proper brushing, flossing, and antibacterial rinses, complements professional maintenance and protects the outcomes achieved through Periodontics.

6. Benefits of Early Periodontal Therapy
Early periodontal therapy offers significant clinical and functional benefits. By controlling bacterial infection early, patients can avoid tooth loss, complex periodontal surgery, and extensive restorative procedures.
Additional benefits include healthier gums, elimination of bleeding gums, improved breath, and enhanced overall oral health and gums. From a systemic perspective, managing periodontal disease also supports better general health, as chronic gum infections are linked to diabetes and cardiovascular conditions.
Choosing timely gum disease treatment at Tam Duc Smile Dental ensures a proactive approach to preserving natural teeth and maintaining a healthy, confident smile for years to come.
Tam Duc Smile Dental Clinic – A Modern Nationwide Dental System
Tam Duc Smile Dental Clinic is a leading comprehensive dental system, offering a full range of oral healthcare services from basic to advanced treatments, including routine dental check-ups, cavity treatment, scaling and aesthetic fillings, teeth whitening, porcelain crowns and veneers, orthodontics, and dental implant placement. With a team of highly experienced and dedicated dentists, along with advanced technologies such as Cone Beam CT 3D imaging and CAD/CAM systems, Tam Duc Smile Dental Clinic is committed to delivering a perfect smile that is safe, durable, and long-lasting over time. Book your appointment today for a free consultation via Hotline 1900.8040
- 52 Tan Ky Tan Quy Street, Tay Thanh Ward, Ho Chi Minh City
- 140 Ly Thai To Street, Ban Co Ward, Ho Chi Minh City
- 76 Pham Hong Thai Street, Ben Thanh Ward, Ho Chi Minh City
- 708–720 Dien Bien Phu Street, Thanh My Tay Ward, Ho Chi Minh City
- 513 Hoang Van Thu Street, Tan Son Nhat Ward, Ho Chi Minh City
- 50 Le Van Viet Street, Tang Nhon Phu Ward, Ho Chi Minh City
- 1112 Huynh Tan Phat Street, Tan My Ward, Ho Chi Minh City
- 361 Phan Van Tri Street, Binh Loi Trung Ward, Ho Chi Minh City
- 128 Nguyen Oanh Street, Hanh Thong Ward, Ho Chi Minh City
- Hotline: 1900.8040 – 0329 851 079
- Opening hours: 08:00 AM – 07:30 PM; Sunday: 08:00 AM – 12:00 PM


Specialist Level I
Pham Nguyen
Content medically reviewed
A Specialist Level I in Odonto-Stomatology (Dentistry), former Deputy Head of the Department at the Ho Chi Minh City Hospital of Odonto-Stomatology, with extensive experience in dental implantology, sinus lift procedures, and oral and maxillofacial surgery. He has obtained numerous advanced professional certifications both in Vietnam and internationally.
Xem thêm thông tinBÀI VIẾT LIÊN QUAN
Multiple Tooth Implants: Implant-Supported Bridge & Jawbone Care
Multiple Tooth Implants are an advanced solution for replacing several missing teeth using titanium implants...
Do Dental Implants Hurt? Pain Timeline, Recovery & What to Expect
Do dental implants hurt? This is one of the most common concerns for patients considering...
Dental Implant Surgery: Procedure, Costs, Recovery & Advanced Techniques
Dental implant surgery is a modern dental implant procedure designed to replace missing teeth through...
Dental Implant Components: Parts, Materials & Implant System Explained
Dental implant components are the foundation of a successful implant restoration, consisting of three main...
Dental Implant Cleaning Tools for Implant Hygiene and Maintenance Guide
Dental implant cleaning tools play a vital role in maintaining long-term implant health and preventing...
Dental Implant Bridge: Implant-Supported Fixed Tooth Replacement
A dental implant bridge is an advanced implant-supported bridge solution designed to replace multiple missing...