- Nguyên Phó Trưởng khoa Phẫu thuật Hàm mặt – BV Răng Hàm Mặt TPHCM
- Giấy phép hành nghề số 004447/HCM – CCHN
- Giữ vai trò cố vấn chuyên môn cho Nha khoa Tâm Đức Smile
1. Nướu răng là gì?
1.1 Khái niệm về nướu răng
Nướu răng là một phần mô mềm đặc biệt trong khoang miệng, bao quanh chân răng và che phủ xương ổ răng. Đây là lớp mô liên kết có tính đàn hồi, được phủ bởi biểu mô miệng, đóng vai trò như “lá chắn tự nhiên” bảo vệ hệ thống răng miệng khỏi sự tấn công của vi khuẩn và các tác động từ bên ngoài.
Trong nha khoa, nướu răng còn được gọi là lợi, là một yếu tố quan trọng trong việc duy trì sức khỏe răng miệng toàn diện. Nếu nướu khỏe mạnh thì răng mới có thể chắc chắn, thực hiện đầy đủ chức năng ăn nhai và thẩm mỹ.
1.2 Cấu tạo và vị trí trong khoang miệng
Cấu tạo của nướu răng gồm 2 phần chính:
- Nướu tự do: Là phần mô bao quanh cổ răng nhưng không dính chặt vào răng, tạo thành khe nướu – nơi dễ tích tụ mảng bám và cao răng.
- Nướu dính: Là phần mô bám chắc vào cổ răng và xương ổ răng, giúp giữ răng ổn định.
Vị trí của nướu răng trải dài khắp cung hàm, bao phủ quanh chân răng, nối liền với niêm mạc miệng và được xem như “khung nền” bảo vệ toàn bộ hệ thống răng.

1.3 Vai trò cơ bản trong hệ thống nâng đỡ răng
Nướu răng cùng với dây chằng nha chu, xương ổ răng và xi măng răng hợp thành một hệ thống nâng đỡ răng gọi là nha chu. Hệ thống này có chức năng:
- Giúp răng đứng vững chắc trên cung hàm.
- Hấp thụ và phân tán lực nhai.
- Duy trì sự liên kết giữa răng – xương – mô mềm.
Một khi nướu răng bị tổn thương, toàn bộ hệ thống nâng đỡ răng sẽ bị ảnh hưởng, dẫn đến các bệnh lý như viêm nướu, tụt nướu, viêm nha chu và thậm chí mất răng.
2. Chức năng chính của nướu
2.1 Bảo vệ chân răng khỏi vi khuẩn và tác động ngoại lực
Một trong những chức năng quan trọng nhất của nướu răng là bảo vệ chân răng. Nướu hoạt động như một hàng rào sinh học, ngăn chặn vi khuẩn xâm nhập sâu vào chân răng và xương ổ răng. Đồng thời, nướu khỏe mạnh còn giảm thiểu sự tác động của lực nhai, lực cắn và các chấn động ngoại lực đến chân răng.
Khi nướu bị viêm hoặc tụt nướu, phần chân răng bị lộ ra, khiến răng trở nên nhạy cảm, dễ đau buốt và có nguy cơ sâu răng chân.
2.2 Hỗ trợ cố định răng trong xương hàm
Cùng với xương ổ răng và dây chằng nha chu, nướu răng có chức năng giữ cho răng luôn đứng vững chắc. Phần nướu dính bám chặt vào răng, giúp ngăn chặn sự dịch chuyển và lung lay của răng.
Nếu nướu yếu hoặc bị viêm nha chu, hệ thống nâng đỡ này suy yếu, răng sẽ dễ bị lung lay, mất đi sự ổn định. Đây là nguyên nhân phổ biến dẫn đến tình trạng mất răng sớm ở người trưởng thành.

2.3 Vai trò trong thẩm mỹ nụ cười
Ngoài yếu tố sức khỏe, nướu răng còn góp phần quan trọng vào thẩm mỹ nụ cười. Một nụ cười đẹp không chỉ cần răng trắng sáng mà còn cần nướu hồng hào, cân đối.
- Nướu khỏe mạnh thường có màu hồng nhạt, bề mặt săn chắc, ôm sát cổ răng.
- Nướu bị viêm thường đỏ sẫm, sưng to, dễ chảy máu khi chải răng.
Trong nha khoa thẩm mỹ, nhiều kỹ thuật chỉnh hình nướu (như tạo hình nướu, ghép nướu) được thực hiện để mang lại nụ cười hài hòa, đặc biệt là trong các trường hợp cười hở lợi.
2.4 Liên quan đến chức năng ăn nhai và phát âm
- Ăn nhai: Nướu đóng vai trò giảm lực, bảo vệ mô cứng của răng trong quá trình ăn nhai. Khi nướu bị viêm hay tổn thương, việc nhai nuốt trở nên khó khăn, thậm chí gây đau nhức kéo dài.
- Phát âm: Sự phối hợp giữa răng, nướu và lưỡi giúp phát ra âm thanh rõ ràng. Khi nướu răng không khỏe, răng lung lay hoặc mất răng, khả năng phát âm có thể bị ảnh hưởng.
3. Dấu hiệu của nướu khỏe mạnh
Một trong những yếu tố quan trọng phản ánh sức khỏe răng miệng chính là tình trạng của nướu răng. Khi nướu khỏe mạnh, chúng không chỉ bảo vệ răng khỏi vi khuẩn mà còn giúp duy trì chức năng ăn nhai ổn định. Dưới đây là các dấu hiệu rõ rệt để nhận biết:
3.1 Nướu hồng hào, săn chắc, không bị viêm đỏ
- Nướu răng khỏe mạnh thường có màu hồng tự nhiên, không quá nhợt nhạt hay đỏ thẫm.
- Bề mặt nướu săn chắc, đàn hồi, không mềm nhũn hoặc có mảng bám trắng bất thường.
- Ngược lại, nếu nướu bị viêm đỏ, sưng to thì đây là dấu hiệu cảnh báo sớm của viêm nướu hoặc bệnh nha chu.
3.2 Không chảy máu khi đánh răng hoặc dùng chỉ nha khoa
- Ở trạng thái khỏe mạnh, nướu răng ôm khít quanh răng, không bị tổn thương khi chải răng đúng cách hoặc khi sử dụng chỉ nha khoa.
- Hiện tượng nướu chảy máu khi vệ sinh thường xuyên là cảnh báo tích tụ cao răng hoặc viêm nướu.
3.3 Không có mùi hôi miệng do viêm nướu
- Hơi thở thơm mát, không có mùi khó chịu là dấu hiệu của nướu khỏe mạnh.
- Ngược lại, hôi miệng kéo dài thường do mảng bám vi khuẩn, viêm nướu hoặc nha chu gây ra. Đây là nguyên nhân ảnh hưởng trực tiếp đến tâm lý và giao tiếp hàng ngày.
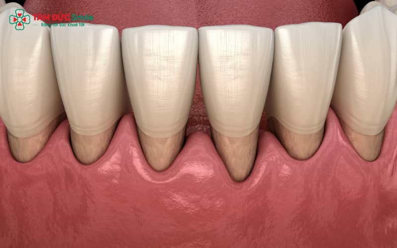
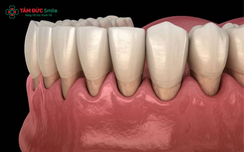
3.4 Bề mặt nướu ôm sát vào răng, không tụt, không sưng
- Nướu bình thường có đặc điểm ôm sát quanh cổ răng, tạo thành một “hàng rào” bảo vệ chân răng và xương ổ răng.
- Tụt nướu hoặc sưng phồng là dấu hiệu nguy hiểm, có thể dẫn đến lung lay răng, thậm chí mất răng vĩnh viễn nếu không điều trị kịp thời.

4. Sức khỏe nướu quan trọng như thế nào?
Sức khỏe của nướu răng có mối liên hệ chặt chẽ không chỉ với răng mà còn với toàn bộ cơ thể. Việc duy trì nướu khỏe mạnh mang lại nhiều lợi ích to lớn:
4.1 Ngăn ngừa viêm nướu, nha chu – nguyên nhân chính gây mất răng
- Viêm nướu là giai đoạn sớm, nếu không được kiểm soát sẽ tiến triển thành viêm nha chu.
- Nha chu làm mất bám dính giữa răng và xương hàm, dẫn đến lung lay và rụng răng.
- Do đó, chăm sóc nướu răng khỏe mạnh chính là chìa khóa giúp duy trì hàm răng vững chắc lâu dài.
4.2 Tác động đến sức khỏe toàn thân (nguy cơ tim mạch, tiểu đường)
- Nhiều nghiên cứu cho thấy vi khuẩn từ viêm nướu, nha chu có thể xâm nhập vào máu, làm tăng nguy cơ bệnh tim mạch, đột quỵ và tiểu đường.
- Người mắc bệnh tiểu đường thường có nguy cơ viêm nướu và nha chu cao hơn, gây ra vòng xoắn bệnh lý khó kiểm soát.
- Vì vậy, sức khỏe nướu răng không chỉ ảnh hưởng tại chỗ mà còn liên quan mật thiết đến sức khỏe tổng quát.
4.3 Tầm quan trọng của chăm sóc nướu hàng ngày
- Thực hiện chải răng ít nhất 2 lần/ngày với bàn chải lông mềm.
- Sử dụng chỉ nha khoa để loại bỏ mảng bám giữa kẽ răng – nơi bàn chải không tới được.
- Dùng thêm nước súc miệng diệt khuẩn để giảm nguy cơ viêm nướu.
- Hạn chế thuốc lá, rượu bia và chế độ ăn nhiều đường – tác nhân làm hại nướu răng.
4.4 Khuyến nghị khám răng định kỳ và lấy cao răng để duy trì sức khỏe nướu
- Khám nha khoa định kỳ (6 tháng/lần) giúp phát hiện sớm viêm nướu hoặc bệnh nha chu.
- Cạo vôi răng an toàn giúp loại bỏ mảng bám cứng đầu – nguyên nhân trực tiếp gây viêm nướu, chảy máu nướu.
Đây là giải pháp hiệu quả để giữ nướu hồng hào, săn chắc và bảo vệ răng miệng toàn diện.
Nha Khoa Tâm Đức Smile – Hệ thống nha khoa hiện đại nhiều chi nhánh toàn quốc
Nha khoa Tâm Đức Smile – hệ thống nha khoa toàn diện hàng đầu, mang đến giải pháp chăm sóc răng miệng từ cơ bản đến chuyên sâu: khám răng định kỳ, điều trị sâu răng, cạo vôi – trám thẩm mỹ, tẩy trắng răng, bọc răng sứ, niềng răng và trồng răng implant. Với đội ngũ bác sĩ giàu kinh nghiệm, tận tâm cùng công nghệ hiện đại như CT Cone Beam 3D, hệ thống CAD/CAM, Nha khoa Tâm Đức Smile cam kết mang lại nụ cười hoàn mỹ – an toàn – bền đẹp theo thời gian. Đặt lịch ngay hôm nay để được tư vấn miễn phí qua Hotline 1900.8040.- Trụ sở chính: 52 Tân Kỳ Tân Quý, phường Tây Thạnh, TP.HCM
- 140 Lý Thái Tổ, phường Bàn Cờ, TP.HCM
- 76 Phạm Hồng Thái, phường Bến Thành, TP.HCM
- 708-720 Điện Biên Phủ, phường Thạnh Mỹ Tây, TP.HCM
- 513 Hoàng Văn Thụ, Phường Tân Sơn Nhất, TP.HCM
- 50 Lê Văn Việt, Phường Tăng Nhơn Phú, TP.HCM
- 1112 Huỳnh Tấn Phát, Phường Tân Mỹ, TP.HCM
- 361 Phan Văn Trị, Phường Bình Lợi Trung, TP.HCM
- 128 Nguyễn Oanh, Phường Hạnh Thông, TP.HCM
- Hotline: 1900.8040 - 0329851079
- Mở cửa: 08:00 AM - 19:30 PM; Chủ nhật: 08:00 - 12h00


Bác sĩ Chuyên khoa I
Phạm Nguyễn
Đã kiểm duyệt nội dung
Bác sĩ chuyên khoa Răng Hàm Mặt, nguyên Phó Trưởng khoa BV Răng Hàm Mặt TP.HCM, giàu kinh nghiệm trong cấy ghép Implant, nâng xoang, phẫu thuật hàm mặt, đạt nhiều chứng chỉ chuyên sâu trong và ngoài nước....
Xem thêm thông tinBÀI VIẾT LIÊN QUAN
Nha khoa Quận 10 uy tín – Niềng răng, bọc răng sứ, trồng răng Implant
Nha khoa quận 10 hiện nay có rất nhiều lựa chọn, nhưng Nha khoa Tâm...
Nha khoa Nhà Bè uy tín – Niềng răng, bọc răng sứ, trồng răng Implant
Tọa lạc tại 1112 Huỳnh Tấn Phát, Phường Tân Mỹ, Quận 7, chỉ cách Nhà...
Nha khoa Thủ Đức uy tín | Niềng răng, bọc sứ, Implant tại 50 Lê Văn Việt
Tọa lạc tại 50 Lê Văn Việt, Phường Hiệp Phú, Thành Phố Thủ Đức, TP.HCM,...
Nha khoa Quận 5 uy tín – Niềng răng, bọc răng sứ, trồng răng Implant
Nằm tại 140 Lý Thái Tổ, phường Bàn Cờ, TP.HCM, chỉ cách quận 5 khoảng...
Nha khoa quận 7 uy tín | Niềng răng, cấy ghép Implant, bọc răng sứ giá tốt
Bạn đang tìm nha khoa quận 7 uy tín? Đến ngay Nha khoa Tâm Đức...
Nha khoa Quận Phú Nhuận uy tín – Niềng răng, bọc răng sứ, trồng răng Implant
Tọa lạc tại 513 Hoàng Văn Thụ, Phường Tân Sơn Nhất, Quận Tân Bình, chỉ...