- Nguyên Phó Trưởng khoa Phẫu thuật Hàm mặt – BV Răng Hàm Mặt TPHCM
- Giấy phép hành nghề số 004447/HCM – CCHN
- Giữ vai trò cố vấn chuyên môn cho Nha khoa Tâm Đức Smile
Nhiều người thắc mắc người có 36 cái răng thì sao và liệu đây có phải là hiện tượng bất thường. Thực tế, đây là tình trạng răng thừa (siêu số răng) do di truyền, mầm răng phát triển bất thường hoặc răng khôn mọc thêm. Việc xuất hiện quá nhiều răng có thể dẫn đến răng chen chúc, răng mọc lệch, gây khớp cắn sai lệch, ảnh hưởng đến ăn nhai và thẩm mỹ. Để chẩn đoán chính xác, cần thăm khám tại nha khoa, chụp X-quang và có thể phải nhổ răng thừa hoặc niềng răng để đảm bảo sức khỏe răng miệng lâu dài. Trong bài viết này, Nha khoa Tâm Đức Smile sẽ giải thích chi tiết nguyên nhân người có 36 cái răng, ảnh hưởng và hướng xử lý an toàn, hiệu quả.
1. Người có 36 cái răng thì sao?
1.1 Giải thích hiện tượng răng thừa (siêu số răng)
Ở người trưởng thành, số lượng răng bình thường dao động từ 28 – 32 cái răng, trong đó bao gồm 4 chiếc răng khôn có thể mọc hoặc không. Tuy nhiên, có những trường hợp đặc biệt khi xuất hiện thêm răng thừa – còn gọi là hiện tượng siêu số răng. Đây là tình trạng số lượng răng vượt mức bình thường, dẫn đến việc một số người có đến 36 cái răng.
Răng thừa có thể mọc ở nhiều vị trí khác nhau như răng cửa, răng hàm nhỏ, hoặc đặc biệt là răng khôn mọc thêm ngoài 4 chiếc thường gặp. Sự xuất hiện này không chỉ khiến răng mọc chen chúc, mất thẩm mỹ mà còn gây ảnh hưởng đến khớp cắn, ăn nhai và tăng nguy cơ mắc các bệnh lý răng miệng.
1.2 Tỷ lệ gặp trong cộng đồng
Theo thống kê nha khoa, tình trạng răng thừa chiếm khoảng 1–3% dân số. Trong đó, nam giới thường gặp nhiều hơn nữ giới. Những chiếc răng này thường mọc ở hàm trên, đặc biệt ở vùng răng cửa giữa, hoặc ở vị trí các răng khôn mọc thêm.
Tuy tỷ lệ không cao, nhưng khi xảy ra, hiện tượng này gây nhiều bất tiện cho người bệnh: từ sai lệch khớp cắn, khó vệ sinh răng miệng, đến nguy cơ biến chứng răng thừa như sâu răng, viêm lợi, hoặc tiêu xương ổ răng.
1.3 Nguyên nhân thường gặp
- Di truyền: Một số nghiên cứu chỉ ra rằng, nếu trong gia đình có người từng gặp tình trạng răng thừa, con cháu có nguy cơ mắc cao hơn.
- Răng khôn mọc thêm: Bình thường mỗi người chỉ có 4 chiếc răng khôn, nhưng ở một số người, răng khôn mọc thêm khiến tổng số răng vượt quá 32.
- Dị tật phát triển mầm răng: Trong giai đoạn hình thành răng, nếu mầm răng phát triển bất thường, có thể tạo ra thêm các răng ngoài số lượng tiêu chuẩn.

2. Cấu trúc bộ răng người trưởng thành bình thường
2.1 Người trưởng thành thường có bao nhiêu răng?
Một bộ răng trưởng thành điển hình có 32 cái răng, bao gồm:
- 8 răng cửa (4 trên, 4 dưới)
- 4 răng nanh (2 trên, 2 dưới)
- 8 răng hàm nhỏ (4 trên, 4 dưới)
- 12 răng hàm lớn (bao gồm 4 răng khôn)
Tuy nhiên, nhiều người không có đủ 32 răng do thiếu răng khôn bẩm sinh hoặc răng khôn không mọc. Vì thế, một bộ răng trưởng thành bình thường có thể chỉ có 28 cái răng.
2.2 So sánh với trường hợp có 36 răng
Khi một người có đến 36 cái răng, nghĩa là họ đã có thêm từ 4 răng thừa so với cấu trúc bình thường. Những chiếc răng thừa này thường mọc chen chúc ở vùng răng khôn hoặc xuất hiện bất thường ở các vị trí khác trong cung hàm.
So với người có 28 – 32 răng, người có 36 răng thường gặp các vấn đề:
- Khớp cắn sai lệch, ảnh hưởng chức năng ăn nhai.
- Răng mọc lệch, chen chúc, làm giảm tính thẩm mỹ của nụ cười.
- Khó giữ vệ sinh răng miệng, dễ gây sâu răng, viêm lợi.
Như vậy, sự khác biệt không chỉ nằm ở số lượng mà còn ở những hệ lụy về thẩm mỹ và sức khỏe răng miệng.
3. Nguyên nhân dẫn đến có 36 răng
3.1 Răng khôn mọc thêm ngoài số lượng bình thường
Thông thường, người trưởng thành có tối đa 4 răng khôn. Tuy nhiên, có những trường hợp răng khôn mọc thêm, khiến tổng số răng vượt quá 32 và đạt đến 36 cái răng. Đây là dạng răng thừa (siêu số răng) phổ biến nhất. Các răng khôn mọc thêm thường nằm ở cuối cung hàm, gây chen chúc, làm răng mọc lệch hoặc chèn ép các răng bên cạnh.
3.2 Dị tật phát triển mầm răng và di truyền
- Dị tật phát triển mầm răng: Trong giai đoạn bào thai, mầm răng có thể phân chia bất thường, tạo ra thêm nhiều răng. Đây là nguyên nhân khiến một số người có số lượng răng vượt chuẩn.
- Di truyền: Nếu trong gia đình có người từng có răng thừa, khả năng cao thế hệ sau cũng sẽ gặp tình trạng này. Gen di truyền có thể ảnh hưởng đến sự hình thành và phát triển của mầm răng, dẫn đến hiện tượng có tới 36 cái răng.

4. Dấu hiệu nhận biết người có răng thừa
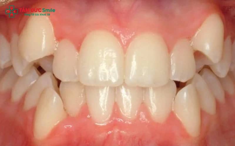
4.1 Răng chen chúc, mọc lệch, sai khớp cắn
Người có răng thừa thường dễ nhận thấy tình trạng răng chen chúc, các răng mọc không theo hàng lối, làm cho khớp cắn sai lệch. Điều này không chỉ ảnh hưởng đến thẩm mỹ nụ cười mà còn gây khó khăn trong việc ăn nhai.
4.2 Cần chụp phim X-quang để xác định chính xác
Không phải lúc nào răng thừa cũng mọc lộ rõ trên cung hàm. Có trường hợp răng mọc ngầm, răng mọc lệch dưới nướu, rất khó phát hiện bằng mắt thường. Do đó, bác sĩ thường chỉ định chụp phim X-quang hoặc CT Conebeam để kiểm tra vị trí, số lượng răng, từ đó đưa ra kế hoạch điều trị phù hợp như nhổ răng thừa hoặc niềng răng.
5. Ảnh hưởng của việc có 36 cái răng
5.1 Ảnh hưởng thẩm mỹ: răng mọc lệch, chen chúc
Khi có quá nhiều răng trên cung hàm, tình trạng răng chen chúc và răng mọc lệch thường xảy ra. Điều này làm nụ cười mất cân đối, khuôn mặt thiếu hài hòa. Nhiều người cảm thấy tự ti, ngại giao tiếp do thẩm mỹ nụ cười bị ảnh hưởng rõ rệt.
5.2 Ảnh hưởng chức năng ăn nhai và sức khỏe răng miệng
Số lượng răng vượt chuẩn dễ gây khớp cắn sai lệch, khiến quá trình ăn nhai không hiệu quả, dẫn đến đau mỏi hàm, thậm chí rối loạn khớp thái dương hàm. Ngoài ra, việc răng mọc chật chội gây khó vệ sinh, tăng nguy cơ sâu răng, viêm lợi, tiêu xương ổ răng, ảnh hưởng lâu dài đến sức khỏe toàn thân.
6. Các phương pháp điều trị
6.1 Nhổ răng thừa để tránh biến chứng
Trong hầu hết các trường hợp, bác sĩ sẽ chỉ định nhổ răng thừa để giải phóng khoảng trống, giúp răng còn lại sắp xếp đúng vị trí, hạn chế biến chứng về sau.
6.2 Niềng răng (chỉnh nha) khi có chen chúc, lệch khớp cắn
Sau khi nhổ bỏ răng thừa, người bệnh thường cần niềng răng để điều chỉnh lại khớp cắn và sắp xếp các răng thẳng hàng. Với trường hợp phức tạp, có thể kết hợp niềng răng và phẫu thuật chỉnh nha nhằm đạt hiệu quả tối ưu.

7. Quy trình thăm khám và chẩn đoán
7.1 Khám tổng quát tại nha khoa uy tín
Người có dấu hiệu răng thừa hoặc nghi ngờ có đến 36 cái răng cần được thăm khám tại các phòng khám nha khoa chuyên sâu. Bác sĩ sẽ kiểm tra toàn diện: tình trạng răng, khớp cắn, lợi và xương hàm. Đây là bước quan trọng để đánh giá mức độ răng chen chúc, khớp cắn sai lệch và nguy cơ biến chứng.
7.2 Chụp X-quang, CT Conebeam để xác định vị trí răng thừa
Để có kết quả chính xác, bác sĩ sẽ chỉ định chụp phim X-quang hoặc CT Conebeam. Các phương pháp này giúp phát hiện răng mọc ngầm, răng khôn mọc thêm, cũng như số lượng răng vượt chuẩn. Từ đó, bác sĩ lập kế hoạch điều trị cá nhân hóa như nhổ răng thừa, niềng răng hoặc kết hợp phẫu thuật chỉnh nha.
8. Kinh nghiệm thực tế và lời khuyên
8.1 Không tự ý nhổ răng, cần theo chỉ định của bác sĩ chỉnh nha
Nhiều người lo lắng khi có 36 cái răng và muốn nhổ bỏ ngay. Tuy nhiên, việc tự ý nhổ hoặc nhổ ở cơ sở kém uy tín có thể dẫn đến biến chứng nguy hiểm. Việc xử lý phải dựa trên phác đồ cá nhân hóa từ bác sĩ chỉnh nha có kinh nghiệm.
8.2 Khám định kỳ và duy trì vệ sinh răng miệng
Người có răng thừa nên khám nha khoa định kỳ 6 tháng/lần để theo dõi. Đồng thời cần duy trì thói quen vệ sinh răng miệng đúng cách: dùng bàn chải điện, chỉ nha khoa, máy tăm nước. Đây là cách phòng ngừa hiệu quả các vấn đề như sâu răng, viêm lợi, và giữ nụ cười khỏe đẹp lâu dài.
Nha Khoa Tâm Đức Smile – Hệ thống nha khoa hiện đại nhiều chi nhánh toàn quốc
Nha khoa Tâm Đức Smile – hệ thống nha khoa toàn diện hàng đầu, mang đến giải pháp chăm sóc răng miệng từ cơ bản đến chuyên sâu: khám răng định kỳ, điều trị sâu răng, cạo vôi – trám thẩm mỹ, tẩy trắng răng, bọc răng sứ, niềng răng và trồng răng implant. Với đội ngũ bác sĩ giàu kinh nghiệm, tận tâm cùng công nghệ hiện đại như CT Cone Beam 3D, hệ thống CAD/CAM, Nha khoa Tâm Đức Smile cam kết mang lại nụ cười hoàn mỹ – an toàn – bền đẹp theo thời gian. Đặt lịch ngay hôm nay để được tư vấn miễn phí qua Hotline 1900.8040.- Trụ sở chính: 52 Tân Kỳ Tân Quý, phường Tây Thạnh, TP.HCM
- 140 Lý Thái Tổ, phường Bàn Cờ, TP.HCM
- 76 Phạm Hồng Thái, phường Bến Thành, TP.HCM
- 708-720 Điện Biên Phủ, phường Thạnh Mỹ Tây, TP.HCM
- 513 Hoàng Văn Thụ, Phường Tân Sơn Nhất, TP.HCM
- 50 Lê Văn Việt, Phường Tăng Nhơn Phú, TP.HCM
- 1112 Huỳnh Tấn Phát, Phường Tân Mỹ, TP.HCM
- 361 Phan Văn Trị, Phường Bình Lợi Trung, TP.HCM
- 128 Nguyễn Oanh, Phường Hạnh Thông, TP.HCM
- Hotline: 1900.8040 - 0329851079
- Mở cửa: 08:00 AM - 19:30 PM; Chủ nhật: 08:00 - 12h00


Bác sĩ Chuyên khoa I
Phạm Nguyễn
Đã kiểm duyệt nội dung
Bác sĩ chuyên khoa Răng Hàm Mặt, nguyên Phó Trưởng khoa BV Răng Hàm Mặt TP.HCM, giàu kinh nghiệm trong cấy ghép Implant, nâng xoang, phẫu thuật hàm mặt, đạt nhiều chứng chỉ chuyên sâu trong và ngoài nước....
Xem thêm thông tinBÀI VIẾT LIÊN QUAN
Nha khoa Thủ Đức uy tín | Niềng răng, bọc sứ, Implant tại 50 Lê Văn Việt
Tọa lạc tại 50 Lê Văn Việt, Phường Hiệp Phú, Thành Phố Thủ Đức, TP.HCM,...
Nha khoa quận 7 uy tín | Niềng răng, cấy ghép Implant, bọc răng sứ giá tốt
Bạn đang tìm nha khoa quận 7 uy tín? Đến ngay Nha khoa Tâm Đức...
Nha khoa Quận 9 uy tín – Niềng răng, bọc răng sứ, trồng răng Implant
Tọa lạc tại 50 Lê Văn Việt, Phường Tăng Nhơn Phú, TP. Thủ Đức (Quận...
Nha khoa Quận Gò Vấp uy tín – Niềng răng, bọc răng sứ, trồng răng Implant
Tọa lạc tại 128 Nguyễn Oanh, Phường Hạnh Thông, Quận Gò Vấp, TP.HCM, Nha khoa...
Nha khoa Quận 1 uy tín – Niềng răng, Implant, bọc sứ tại 76 Phạm Hồng Thái
Bạn đang tìm nha khoa uy tín Quận 1 với địa chỉ thuận tiện ngay...
Nha khoa Quy Nhơn uy tín – Niềng răng, bọc sứ, Implant giá tốt
Nếu Quý khách đang tìm kiếm một nha khoa uy tín tại Quy Nhơn, thì...