- Nguyên Phó Trưởng khoa Phẫu thuật Hàm mặt – BV Răng Hàm Mặt TPHCM
- Giấy phép hành nghề số 004447/HCM – CCHN
- Giữ vai trò cố vấn chuyên môn cho Nha khoa Tâm Đức Smile
Chân răng có mùi hôi là biểu hiện thường gặp ở những người gặp vấn đề về răng miệng như viêm chân răng, viêm nha chu, hoặc tụ mủ quanh nướu. Tình trạng này không chỉ gây hơi thở có mùi, mùi hôi từ kẽ răng, mà còn ảnh hưởng đến cảm giác ê buốt và chất lượng sinh hoạt hàng ngày. Nguyên nhân chủ yếu đến từ sự tích tụ của vi khuẩn kỵ khí, mảng bám, thức ăn thừa và thói quen vệ sinh răng miệng kém. Khi nướu sưng đỏ, đổi màu hoặc chảy máu chân răng, đó có thể là dấu hiệu cảnh báo sớm của bệnh lý nha khoa nghiêm trọng. Việc điều trị sớm bằng cách cạo vôi răng siêu âm, sử dụng nước súc miệng sát khuẩn, hoặc dùng thuốc kháng sinh sẽ giúp cải thiện hiệu quả. Nếu để lâu, viêm lợi có mùi hôi có thể tiến triển thành áp xe răng, ảnh hưởng đến sức khỏe toàn thân. Hãy lắng nghe dấu hiệu từ chân răng có mùi để bảo vệ hơi thở thơm tho và nụ cười tự tin mỗi ngày.
1. Nguyên nhân nào làm cho chân răng có mùi hôi?
Có 5 nguyên nhân chính làm cho chân răng của Quý khách bị hôi. Bao gồm:
- Do làm sạch răng không khoa học.
- Do thường xuyên dùng đồ ăn, thức uống gây mùi.
- Do thói có quen hút thuốc lá.
- Do tác dụng phụ của 1 số loại thuốc chữa bệnh.
- Do 1 số bệnh lý răng miệng.
1.1. Làm sạch răng không đúng cách
Nếu Quý khách làm sạch răng miệng không đúng cách, mùi hôi ở chân răng sẽ xuất hiện. Vì thức ăn bị giắt lại ở chân răng hoặc kẽ răng lâu ngày sinh ra vi khuẩn.
Có các vị trí trên hàm răng bị khuất sâu bên trong, không thể làm sạch bằng thao tác chải răng thông thường. Nếu không sử dụng thêm các dụng cụ chuyên dụng như chỉ nha khoa, máy tăm nước, nước súc miệng,… thì tình trạng chân răng có mùi hôi rất dễ xảy ra.
1.2. Thường xuyên dùng đồ ăn, thức uống gây mùi
Thường xuyên sử dụng các thực phẩm gây mùi như tỏi, hành, cà phê, cà ri, bia rượu,… cũng là nguyên nhân làm cho chân răng bị hôi. Ăn uống không lành mạnh càng lâu, tình trạng bị hôi chân răng của Quý khách càng nghiêm trọng.


1.3. Chân răng có mùi hôi do thói quen hút thuốc lá
Các nhà nghiên cứu đã chỉ ra rằng, người có thói quen hút thuốc lá có tỷ lệ bị hôi miệng cao hơn so với người không hút thuốc. Vì trong thuốc lá có chứa nhiều độc tố làm cho chân răng có mùi hôi.
Ngoài ra, thói quen hút thuốc lá thường xuyên còn ảnh hưởng nghiêm trọng đến sức khỏe.
1.4. Tác dụng phụ của 1 số loại thuốc chữa bệnh
Bên cạnh các nguyên nhân chủ quan, còn 1 số nguyên nhân khách quan làm cho Quý khách bị hôi chân răng. Điển hình là do tác dụng phụ của việc dùng 1 số loại thuốc trị bệnh trong thời gian dài. Ví dụ như: Thuốc tiểu đường, thuốc tim mạch, thuốc trị bệnh thận,…
Mức độ của mùi hôi chân răng do nguyên nhân này gây ra sẽ phụ thuộc vào cơ địa và thể trạng của Quý khách.
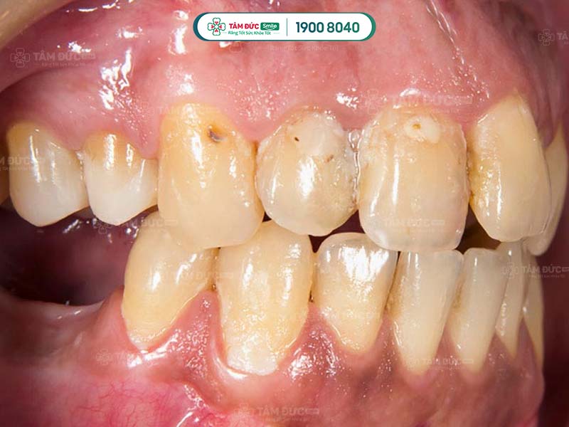
1.5. Bệnh lý răng miệng làm chân răng có mùi hôi
Bệnh lý răng miệng cũng là nguyên nhân làm cho chân răng có mùi hôi. Nếu Quý khách bị sâu răng, viêm lợi, viêm nha chu, áp xe răng,… thì hơi thở sẽ hôi hơn bình thường. Các bệnh lý này còn kéo theo nhiều biến chứng, như: Đau răng, răng lung lay, chảy máu chân răng,…
Khi mắc phải các bệnh lý này, Quý khách cần điều trị càng sớm càng tốt để ngăn chặn hệ lụy nguy hiểm, tránh ảnh hưởng sức khỏe về sau.


2. Cách khắc phục khi bị hôi ở chân răng
Để cải thiện mùi hôi ở chân răng, Quý khách cần kết hợp nhiều phương pháp tại nhà và tại nha khoa. Điều này giúp Quý khách rút ngắn thời gian điều trị và đạt hiệu quả tốt hơn. Sau đây là khuyến nghị của bác sĩ dành cho Quý khách.
2.1. Khắc phục tại nhà
Để khắc phục tình trạng chân răng có mùi hôi tại nhà, Quý khách cần:
- Đánh răng đúng cách.
- Bỏ thói quen hút thuốc lá.
- Hạn chế ăn các thức ăn gây mùi.
2.1.1. Đánh răng đúng cách
Mỗi ngày, Quý khách hãy đánh răng tối thiểu 2 lần/ngày, mỗi lần đánh răng ít nhất 2 phút để làm sạch khoang miệng hiệu quả. Khi đánh răng, Quý khách nên di chuyển bàn chải theo chiều dọc từ trên xuống dưới, hoặc chải răng vòng tròn theo chiều kim đồng hồ. Nguyên nhân là vì men răng sẽ bị mòn khi chải răng theo chiều ngang.
Hãy lựa chọn loại bàn chải có đầu tròn để đánh răng dễ dàng hơn. Quý khách nên sử dụng thêm máy tăm nước hoặc chỉ nha khoa để làm sạch toàn bộ thức ăn bị giắt lại trong kẽ răng. Nhờ đó, nguyên nhân làm cho chân răng có mùi hôi do cặn thức ăn sẽ hoàn toàn bị loại bỏ.

Đánh răng đúng cách để loại bỏ hoàn toàn các mảng bám gây hôi miệng
2.1.2. Bỏ thói quen hút thuốc lá
Như thông tin trước đó đã chia sẻ, thói quen hút thuốc lá là 1 trong những nguyên nhân hàng đầu làm cho chân răng có mùi hôi. Vì vậy, để khắc phục tình trạng này, Quý khách cần bỏ thói quen hút thuốc lá.
Bỏ hút thuốc lá giúp giảm áp lực cho phổi khi phải liên tục hoạt động để đào thải độc tố ra ngoài cơ thể. Từ bỏ thói quen này giúp Quý khách ngăn chặn mùi hôi ở chân răng một cách hiệu quả.
2.1.3. Hạn chế ăn các thức ăn gây mùi
Hạn chế các thức ăn gây mùi cũng là cách cải thiện mùi hôi ở chân răng rất hiệu quả. Hoặc sau khi ăn xong, Quý khách cần đánh răng kỹ lưỡng, nhai kẹo cao su hoặc dùng xịt thơm miệng để loại bỏ mùi thức ăn. Bún đậu mắm tôm, sâu răng, mắm cá,… là những thức ăn thuộc danh sách này.
2.2. Khắc phục tại nha khoa
Nếu chân răng có mùi hôi không phải do nguyên nhân chủ quan, mà là do nguyên nhân khách quan thì Quý khách cần đến nha khoa điều trị. Chẳng hạn như hôi chân răng do sâu răng hoặc cao răng. Sau khi thăm khám, bác sĩ sẽ chỉ định phương pháp điều trị thích hợp, tùy vào mức độ và nguyên nhân cụ thể.
2.2.1. Cạo cao răng
Cao răng không chỉ là nguyên nhân làm cho chân răng có mùi hôi, mà còn gây viêm nướu và viêm nha chu. Vì vậy, cạo cao răng chính là cách loại bỏ mùi hôi chân răng được bác sĩ khuyên thực hiện, giúp sức khỏe răng miệng của Quý khách ổn định hơn.
Tại nha khoa Tâm Đức Smile, kỹ thuật cạo cao răng được thực hiện bởi công nghệ sóng siêu âm hiện đại. Cao răng sẽ được loại bỏ, các mảng bám còn lại cũng được làm sạch đến 95%. Sau khi cạo cao răng, mùi hôi ở chân răng cũng biến mất, màu răng cũng được cải thiện đáng kể.
Bác sĩ khuyến nghị Quý khách nên cạo cao răng ít nhất 2 lần/năm để bảo vệ sức khỏe răng miệng. Đồng thời, nên cạo cao răng tại nha khoa uy tín, để tránh tình trạng tổn thương men răng, chảy máu, viêm nhiễm,…
Mời Quý khách xem video thực tế lấy cao răng không đau tại nha khoa Tâm Đức Smile
2.2.2. Điều trị răng sâu
Nếu chân răng có mùi hôi là do răng sâu, Quý khách cần điều trị sâu răng càng sớm càng tốt. Vì răng sâu không chỉ gây hôi miệng, mà còn làm cho Quý khách bị đau nhức, nguy cơ ảnh hưởng đến tủy răng và làm mất răng vĩnh viễn.
Để chữa răng sâu, bác sĩ thường chỉ định trám răng, điều trị tủy hoặc nhổ răng, tùy theo mức độ nghiêm trọng. Để biết được cách chữa răng sâu ở trường hợp của mình, Quý khách hãy đến nha khoa Tâm Đức Smile để bác sĩ thăm khám.
Nha Khoa Tâm Đức Smile – Hệ thống nha khoa hiện đại nhiều chi nhánh toàn quốc
Nha khoa Tâm Đức Smile – hệ thống nha khoa toàn diện hàng đầu, mang đến giải pháp chăm sóc răng miệng từ cơ bản đến chuyên sâu: khám răng định kỳ, điều trị sâu răng, cạo vôi – trám thẩm mỹ, tẩy trắng răng, bọc răng sứ, niềng răng và trồng răng implant. Với đội ngũ bác sĩ giàu kinh nghiệm, tận tâm cùng công nghệ hiện đại như CT Cone Beam 3D, hệ thống CAD/CAM, Nha khoa Tâm Đức Smile cam kết mang lại nụ cười hoàn mỹ – an toàn – bền đẹp theo thời gian. Đặt lịch ngay hôm nay để được tư vấn miễn phí qua Hotline 1900.8040.- Trụ sở chính: 52 Tân Kỳ Tân Quý, phường Tây Thạnh, TP.HCM
- 140 Lý Thái Tổ, phường Bàn Cờ, TP.HCM
- 76 Phạm Hồng Thái, phường Bến Thành, TP.HCM
- 708-720 Điện Biên Phủ, phường Thạnh Mỹ Tây, TP.HCM
- 513 Hoàng Văn Thụ, Phường Tân Sơn Nhất, TP.HCM
- 50 Lê Văn Việt, Phường Tăng Nhơn Phú, TP.HCM
- 1112 Huỳnh Tấn Phát, Phường Tân Mỹ, TP.HCM
- 361 Phan Văn Trị, Phường Bình Lợi Trung, TP.HCM
- 128 Nguyễn Oanh, Phường Hạnh Thông, TP.HCM
- Hotline: 1900.8040 - 0329851079
- Mở cửa: 08:00 AM - 19:30 PM; Chủ nhật: 08:00 - 12h00

Bác sĩ Chuyên khoa I
Phạm Nguyễn
Đã kiểm duyệt nội dung
Bác sĩ chuyên khoa Răng Hàm Mặt, nguyên Phó Trưởng khoa BV Răng Hàm Mặt TP.HCM, giàu kinh nghiệm trong cấy ghép Implant, nâng xoang, phẫu thuật hàm mặt, đạt nhiều chứng chỉ chuyên sâu trong và ngoài nước....
Xem thêm thông tinBÀI VIẾT LIÊN QUAN
Nha khoa Thủ Đức uy tín | Niềng răng, bọc sứ, Implant tại 50 Lê Văn Việt
Tọa lạc tại 50 Lê Văn Việt, Phường Hiệp Phú, Thành Phố Thủ Đức, TP.HCM,...
Nha khoa quận 7 uy tín | Niềng răng, cấy ghép Implant, bọc răng sứ giá tốt
Bạn đang tìm nha khoa quận 7 uy tín? Đến ngay Nha khoa Tâm Đức...
Nha khoa Quận 9 uy tín – Niềng răng, bọc răng sứ, trồng răng Implant
Tọa lạc tại 50 Lê Văn Việt, Phường Tăng Nhơn Phú, TP. Thủ Đức (Quận...
Nha khoa Quận Gò Vấp uy tín – Niềng răng, bọc răng sứ, trồng răng Implant
Tọa lạc tại 128 Nguyễn Oanh, Phường Hạnh Thông, Quận Gò Vấp, TP.HCM, Nha khoa...
Nha khoa Quận 1 uy tín – Niềng răng, Implant, bọc sứ tại 76 Phạm Hồng Thái
Bạn đang tìm nha khoa uy tín Quận 1 với địa chỉ thuận tiện ngay...
Nha khoa Quy Nhơn uy tín – Niềng răng, bọc sứ, Implant giá tốt
Nếu Quý khách đang tìm kiếm một nha khoa uy tín tại Quy Nhơn, thì...