- Nguyên Phó Trưởng khoa Phẫu thuật Hàm mặt – BV Răng Hàm Mặt TPHCM
- Giấy phép hành nghề số 004447/HCM – CCHN
- Giữ vai trò cố vấn chuyên môn cho Nha khoa Tâm Đức Smile
Răng chìa ra ngoài thường xuất phát từ răng hô chìa ra ngoài, răng cửa chìa ra ngoài, răng mọc lệch trục, cung hàm hẹp, hô do xương hàm hoặc thói quen mút tay, đẩy lưỡi, thở miệng. Tình trạng này không chỉ làm nụ cười kém thẩm mỹ, môi khó khép kín mà còn dễ gây sai khớp cắn, khó ăn nhai, sâu răng, viêm nướu. Tại Nha khoa Tâm Đức Smile, bác sĩ thăm khám, chụp phim và tư vấn niềng răng, bọc sứ, dán sứ veneer hoặc phẫu thuật hàm hô phù hợp từng mức độ.
Niềng răng trọn gói 12.000.000 VNĐ/Hàm – Bảo hành, trả góp 0% 
1. Răng chìa ra ngoài phải làm sao?
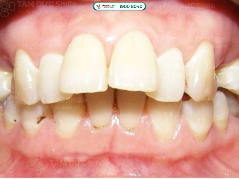
Trong nha khoa, răng chìa ra ngoài là một dạng sai lệch khớp cắn. Dáng răng này kéo theo những ảnh hưởng lớn về chức năng và thẩm mỹ của hàm răng. Để có định hướng đúng về răng chìa ra ngoài phải làm sao, bạn cần đến nha khoa để bác sĩ phân tích nguyên nhân, hướng dẫn cách điều trị.
1.1. Răng chìa ra ngoài là bị gì?
Hiểu theo cách đơn giản, răng chìa ra ngoài là tình trạng răng mọc lệch ra phía ngoài quá mức so với răng ở hàm đối diện. Vấn đề này có thể xảy ra ở răng hàm trên hoặc răng hàm dưới.
Răng chìa ra quá mức làm cho khuôn miệng của bạn bị móm hoặc bị hô. Cụ thể hơn, răng hàm trên chìa ra phía ngoài làm miệng bị hô, răng hàm dưới chìa ra phía ngoài làm miệng bị móm. Đây là dạng sai lệch về khớp cắn phổ biến, chiếm khoảng 10-20% dân số Việt Nam.
Bạn cần xác định rằng, răng chìa ra ngoài không phải là bệnh lý do vi khuẩn gây ra. Vì vậy, bạn không thể điều trị tình trạng này bằng cách uống thuốc. Người có răng bị chìa cần biết cách chăm sóc, giữ vệ sinh răng miệng, đến nha khoa để xác định nguyên nhân và khắc phục sớm.

Trong nha khoa, răng chìa ra ngoài là một dạng sai lệch khớp cắn
1.2. Ảnh hưởng khi bị răng chìa ra ngoài
Ảnh hưởng khi răng bị chìa ra ngoài không chỉ dừng lại ở thẩm mỹ nụ cười, mà còn tác động tiêu cực đến sức khỏe và tâm lý. Cụ thể là:
- Ảnh hưởng thẩm mỹ nụ cười: Răng chìa ra phía ngoài là hàm răng bị lệch, vị trí các răng không cân xứng, không đều nhau. Điều này làm cho nụ cười của bạn mất đi sự hài hòa – tiêu chuẩn của một nụ cười đẹp. Khi cười, bạn có thể để lộ răng hàm trên hoặc răng hàm dưới ra ngoài, thẩm mỹ nụ cười sẽ bị mất điểm rất lớn.
- Ảnh hưởng sức khỏe: Sức khỏe hệ tiêu hóa chịu ảnh hưởng 1 phần bởi khả năng ăn nhai của hàm răng. Răng lệch ra phía ngoài không thể đáp ứng nhiệm vụ ăn nhai cơ bản, làm thức ăn không được nghiền nát kỹ trước khi đưa xuống dạ dày. Đây là nguyên nhân gián tiếp làm dạ dày, đường ruột,… hoạt động quá tải và suy giảm chức năng. Lâu dần, bạn có nguy cơ cao bị mắc các bệnh về đường tiêu hóa như: Đau dạ dày, khó tiêu, táo bón,…
- Ảnh hưởng tâm lý: Hàm răng lệch làm bạn tự ti, khép mình, ngại giao tiếp với mọi người xung quanh. Đây chính là rào cản cho sự phát triển của bạn trên con đường học tập, sự nghiệp hoặc thậm chí là tình yêu. Tâm lý tự ti, xấu hổ có thể đi theo bạn cho đến khi vấn đề răng chìa ra ngoài được giải quyết.
Có thể thấy, răng chìa ra phía ngoài gây ra rất nhiều ảnh hưởng đáng kể đến mọi mặt trong đời sống. Vì vậy, bạn cần nhanh chóng tìm cách khắc phục vấn đề này nhằm cải thiện đời sống tinh thần và sức khỏe của mình. Để đạt được hiệu quả điều trị tốt nhất, trước tiên, bạn nên xác định chính xác nguyên nhân làm răng bị chìa ra ngoài.

Răng bị chìa ra ngoài không chỉ dừng lại ở thẩm mỹ nụ cười, mà còn tác động tiêu cực đến sức khỏe và tâm lý
1.3. Nguyên nhân răng bị chìa ra ngoài
Theo nghiên cứu của các chuyên gia răng hàm mặt, răng chìa ra ngoài là hệ quả của một số thói quen xấu từ bé. Ngoài ra, đặc điểm hình thể của răng cũng được quyết định bởi yếu tố di truyền. Nếu bạn bị mất 1 hoặc 1 vài chiếc răng trên cung hàm cũng có thể gây ra hệ lụy này.
Sau đây là thông tin chi tiết về các nguyên nhân làm răng bị chìa ra ngoài.
1.3.1. Răng bị chìa ra ngoài do di truyền
Đặc điểm về màu sắc, hình thể, độ dày men răng,…được quyết định bởi yếu tố di truyền. Có nghĩa là đặc điểm răng miệng của ông bà, cha mẹ,… sẽ truyền sang cho con cháu có cùng huyết thống. Nếu ông bà, cha mẹ hoặc người thân trong họ hàng có răng bị chìa ra ngoài, thì khả năng cao bạn cũng gặp phải vấn đề này.
1.3.2. Thói quen xấu làm răng bị chìa ra ngoài
Các chuyên gia đã liệt kê một vài thói quen xấu có thể làm cho răng chìa ra ngoài là: Mút tay, ngậm ti giả, cắn đồ vật cứng, nghiến răng,… Các thói quen này hay gặp ở trẻ nhỏ, và đây là đối tượng chưa có ý thức tốt về việc chăm sóc sức khỏe răng miệng.
Lực ma sát hoặc lực đẩy tác động liên tục lên răng làm răng bị lệch. Răng sữa bị lệch tạo ra điểm tựa sai lệch, vì vậy răng vĩnh viễn không thể mọc đúng hướng. Điều này giải thích vì sao những thói quen xấu ở trẻ nhỏ là một trong những nguyên nhân làm răng mọc chìa ra ngoài.

Mút tay là một vài thói quen xấu có thể làm cho răng chìa ra ngoài
1.3.3. Mất răng làm răng bị chìa ra ngoài
Ở một số trường hợp khác, răng bị chìa ra ngoài là do bạn bị mất răng trong thời gian dài. Đó có thể là răng sữa hoặc là răng vĩnh viễn.
Trước tiên, răng sữa là tiền đề chính cho sự phát triển của răng vĩnh viễn. Nếu răng sữa của trẻ rụng đi quá sớm, răng vĩnh viễn sẽ khó mọc đúng vị trí chuẩn do bị mất phương hướng. Do đó, răng vĩnh viễn rất dễ bị mọc lệch, chìa ra ngoài hoặc chen chúc với các răng kế cận.
Nếu bạn bị mất răng vĩnh viễn trong thời gian dài, các răng còn lại sẽ có xu hướng bị xô lệch. Những chiếc răng này sẽ dần nghiêng về khoảng trống mất răng, một số khác mọc chìa ra ngoài hoặc thậm chí cụp vào.
Xác định nguyên nhân làm răng chìa ra ngoài chính là bước quan trọng khi bạn đến nha khoa thăm khám. Nếu nguyên nhân là do những thói quen xấu, bạn cần khắc phục ngay. Đây là việc làm quan trọng để quá trình điều trị răng mọc chìa ra ngoài đạt hiệu quả tốt nhất.
2. Cách điều trị răng chìa hiệu quả
Bạn cần lưu ý rằng, bạn không thể tự khắc phục tình trạng răng mọc chìa ra ngoài tại nhà. Dạng lệch khớp cắn này cần được điều trị bằng các kỹ thuật chuyên sâu tại nha khoa. Đã có rất nhiều trường hợp tự chữa răng chìa tại nhà gặp nhiều biến chứng như: Đau nhức, răng lệch nặng hơn,… Vì vậy, bạn cần bác sĩ hỗ trợ để đảm bảo an toàn.
Tùy thuộc vào mức độ răng chìa nhẹ hay nặng, bác sĩ sẽ giúp bạn cân nhắc cách điều trị thích hợp. Nếu răng chìa ra ngoài mức nhẹ, bạn có thể bọc sứ để khắc phục. Nếu răng chìa ra ngoài mức nặng, cách khắc phục hiệu quả nhất là niềng răng chỉnh nha.
2.1. Răng chìa nhẹ
Răng chìa ra ngoài mức nhẹ là trường hợp biên độ lệch của răng không lớn, chỉ có thể nhận ra thông qua kết quả phân tích tại nha khoa. Để khắc phục, bạn có thể chọn phương pháp bọc răng sứ để tiết kiệm thời gian thực hiện.

Răng chìa ra ngoài mức nhẹ, bạn có thể chọn phương pháp bọc răng sứ
Bằng cách mài đi lớp mỏng men răng – phần bị chìa ra ngoài, sau đó chụp răng sứ lên cùi răng, bạn sẽ sở hữu chiếc răng mới hoàn hảo. Bạn có bao nhiêu răng bị chìa ra ngoài, bác sĩ sẽ gắn bấy nhiêu chiếc răng sứ, giúp hàm răng của bạn trở nên đều đặn.
Răng sứ có màu sắc, hình dáng, đường vân,… đẹp như răng tự nhiên, bạn không phải lo lắng về vấn đề thẩm mỹ sau khi hoàn thiện. Hơn nữa, khả năng chịu lực của răng sứ gấp 4-5 lần răng thật, giúp bạn thoải mái ăn nhai, không ngại răng sứ bị mẻ, vỡ, gãy,…
Ngoài răng chìa ra ngoài, bạn còn có thể bọc răng sứ cho răng ố vàng, răng thưa, răng mẻ,… Bạn cần chọn loại răng sứ chất lượng để kéo dài hiệu quả và bảo vệ sức khỏe răng miệng của mình.
2.2. Răng chìa nặng
Răng chìa ra ngoài mức nặng là trường hợp răng bị lệch quá mức, sẽ dễ dàng nhìn thấy bằng mắt thường. Bạn không thể bọc răng sứ cho trường hợp này, vì tỷ lệ mài răng quá lớn sẽ làm ảnh hưởng ngà răng, tủy răng. Thay vào đó, bạn cần niềng răng – giải pháp chỉnh nha phổ biến được ứng dụng cho mọi dạng lệch khớp cắn.

Niềng răng – giải pháp chỉnh nha phổ biến được ứng dụng cho mọi dạng lệch khớp cắn
Niềng răng sử dụng lực siết từ các khí cụ chỉnh nha như: Mắc cài, dây cung, thun buộc, khay niềng,… để tạo lực dịch chuyển răng bị lệch. Trong khoảng thời gian 2-3 năm, các răng bị lệch sẽ dần di chuyển đến vị trí chuẩn theo phác đồ điều trị. Nhờ đó, vấn đề răng bị chìa ra ngoài ở bạn sẽ được khắc phục hoàn toàn.
Niềng răng là giải pháp giúp bạn bảo tồn răng thật, không làm ảnh hưởng đến cấu trúc răng. Thời gian bạn niềng răng ngắn hay dài sẽ phụ thuộc vào mức độ răng lệch nhiều hay ít. Sau khi tháo niềng răng, bạn cần tiếp tục đeo hàm duy trì trong khoảng 6 tháng đến 1 năm để cố định răng ở vị trí mới.
>>> Tìm hiểu thêm: Niềng răng là gì? Giá, Lợi ích, Quy trình và Địa chỉ uy tín TPHCM
2.3. Lưu ý chăm sóc răng miệng
Dù là trước, trong hay sau thời gian điều trị răng chìa ra ngoài, bạn đều cần chăm sóc răng miệng đúng cách. Lưu ý này rất quan trọng đối với sức khỏe răng miệng của bạn. Sau đây là một vài thông tin bạn nên tham khảo và thực hiện:
- Duy trì thói quen đánh răng 2 lần mỗi ngày vào buổi sáng và tối. Đánh răng vào buổi sáng để loại bỏ vi khuẩn tích tụ trong miệng sau 1 đêm. Đánh răng vào buổi tối để loại bỏ vi khuẩn tích tụ trong miệng sau 1 ngày. Ngoài ra, bạn cũng có thể đánh răng sau khi ăn 30 phút để làm sạch vụn thức ăn còn sót lại.
- Đánh răng đúng cách giúp bạn đạt được hiệu quả làm sạch răng tốt nhất. Bạn cần chải răng theo chuyển động tròn hoặc dọc, chải đều 3 mặt răng: Mặt trong, ngoài ngoài và mặt nhai. Khi chải răng, bạn dùng lực nhẹ nhàng để tránh làm mòn men răng và tổn thương nướu.
- Ngoài đánh răng, bạn nên dùng thêm nước súc miệng hoặc nước muối sinh lý để làm sạch khoang miệng. Đây cũng là cách để bạn giữ được hơi thở thơm mát, dễ chịu.
- Chỉ nha khoa và máy tăm nước là sự hỗ trợ đắc lực trong quá trình làm sạch răng, đặc biệt là kẽ răng. Bác sĩ khuyên bạn sử dụng 2 dụng cụ này thay cho tăm tre xỉa răng.
- Hạn chế dùng các thực phẩm gây hại cho răng cũng là cách chăm sóc răng bạn cần lưu ý. Bạn không nên ăn quá nhiều bánh, kẹo, kem lạnh,… Vì nhóm thực phẩm này là nguyên nhân của các bệnh răng miệng phổ biến, như: Sâu răng, viêm tủy răng, viêm nha chu,…
- Bạn hãy tăng cường sử dụng các nhóm thực phẩm có lợi cho răng. Ví dụ như: Sữa, sữa chua, trứng,… Canxi và Vitamin, khoáng chất có trong loại thực phẩm này sẽ giúp cho răng chắc khỏe hơn.
- Để chăm sóc răng đúng cách, bạn cần đến nha khoa 3-6 tháng/lần để bác sĩ giúp bạn kiểm tra sức khỏe răng miệng. Trong trường hợp có vấn đề phát sinh, bác sĩ sẽ có thể can thiệp kịp thời, hạn chế rủi ro ở mức thấp nhất.

Để chăm sóc răng đúng cách, bạn cần đến nha khoa 3-6 tháng/lần để bác sĩ giúp bạn kiểm tra sức khỏe răng miệng
Nhìn chung, để quá trình điều trị răng chìa ra ngoài đạt hiệu quả tốt sẽ cần hội tụ đủ các tiêu chí sau: Xác định đúng nguyên nhân, áp dụng cách điều trị phù hợp và chăm sóc răng miệng đúng cách. Điều này yêu cầu bạn cần có tính chủ động cao, chủ động trong việc thăm khám và giữ vệ sinh răng miệng tại nhà. Điều trị răng bị lệch càng sớm, bạn sẽ càng nhanh có được nụ cười đẹp và tự tin.
Nha Khoa Tâm Đức Smile – Hệ thống nha khoa hiện đại nhiều chi nhánh toàn quốc
Nha khoa Tâm Đức Smile – hệ thống nha khoa toàn diện hàng đầu, mang đến giải pháp chăm sóc răng miệng từ cơ bản đến chuyên sâu: khám răng định kỳ, điều trị sâu răng, cạo vôi – trám thẩm mỹ, tẩy trắng răng, bọc răng sứ, niềng răng và trồng răng implant. Với đội ngũ bác sĩ giàu kinh nghiệm, tận tâm cùng công nghệ hiện đại như CT Cone Beam 3D, hệ thống CAD/CAM, Nha khoa Tâm Đức Smile cam kết mang lại nụ cười hoàn mỹ – an toàn – bền đẹp theo thời gian. Đặt lịch ngay hôm nay để được tư vấn miễn phí qua Hotline 1900.8040.- Trụ sở chính: 52 Tân Kỳ Tân Quý, phường Tây Thạnh, TP.HCM
- 140 Lý Thái Tổ, phường Bàn Cờ, TP.HCM
- 76 Phạm Hồng Thái, phường Bến Thành, TP.HCM
- 708-720 Điện Biên Phủ, phường Thạnh Mỹ Tây, TP.HCM
- 513 Hoàng Văn Thụ, Phường Tân Sơn Nhất, TP.HCM
- 50 Lê Văn Việt, Phường Tăng Nhơn Phú, TP.HCM
- 1112 Huỳnh Tấn Phát, Phường Tân Mỹ, TP.HCM
- 361 Phan Văn Trị, Phường Bình Lợi Trung, TP.HCM
- 128 Nguyễn Oanh, Phường Hạnh Thông, TP.HCM
- Hotline: 1900.8040 - 0329851079
- Mở cửa: 08:00 AM - 19:30 PM; Chủ nhật: 08:00 - 12h00

Bác sĩ Chuyên khoa I
Phạm Nguyễn
Đã kiểm duyệt nội dung
Bác sĩ chuyên khoa Răng Hàm Mặt, nguyên Phó Trưởng khoa BV Răng Hàm Mặt TP.HCM, giàu kinh nghiệm trong cấy ghép Implant, nâng xoang, phẫu thuật hàm mặt, đạt nhiều chứng chỉ chuyên sâu trong và ngoài nước....
Xem thêm thông tinBÀI VIẾT LIÊN QUAN
Trụ Implant Active IS3 – Giải pháp trồng răng hiện đại với độ bền cao và tích hợp xương nhanh
Trụ Implant Active IS3 là dòng Implant Hàn Quốc thuộc tập đoàn Neobiotech nổi bật...
Nha khoa Thủ Đức uy tín | Niềng răng, bọc sứ, Implant tại 50 Lê Văn Việt
Tọa lạc tại 50 Lê Văn Việt, Phường Hiệp Phú, Thành Phố Thủ Đức, TP.HCM,...
Nha khoa quận 7 uy tín | Niềng răng, cấy ghép Implant, bọc răng sứ giá tốt
Bạn đang tìm nha khoa quận 7 uy tín? Đến ngay Nha khoa Tâm Đức...
Nha khoa Quận 9 uy tín – Niềng răng, bọc răng sứ, trồng răng Implant
Tọa lạc tại 50 Lê Văn Việt, Phường Tăng Nhơn Phú, TP. Thủ Đức (Quận...
Nha khoa Quận Gò Vấp uy tín – Niềng răng, bọc răng sứ, trồng răng Implant
Tọa lạc tại 128 Nguyễn Oanh, Phường Hạnh Thông, Quận Gò Vấp, TP.HCM, Nha khoa...
Nha khoa Quận 1 uy tín – Niềng răng, Implant, bọc sứ tại 76 Phạm Hồng Thái
Bạn đang tìm nha khoa uy tín Quận 1 với địa chỉ thuận tiện ngay...